下载或打开 医联APP 查看完整评论
立即下载
打开APP
年轻女性患者,9月余前自觉呼吸时气管里发出声音,为持续性,查支气管镜检查确诊为左主支气管狭窄。先后曾于外院及我院共行球囊扩张5次,治疗后上述症状消失。现患者返院复查来我科。既往左上肺结核病史1年余,目前口服异福胶囊、乙胺丁醇治疗。
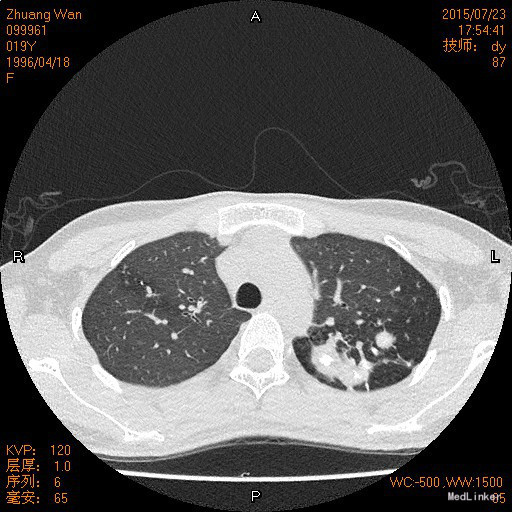
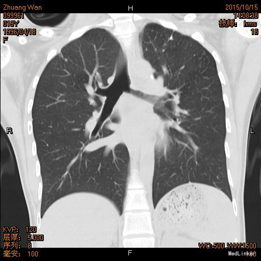
查体:双侧胸廓不对称,未见明显畸形,左肺上叶呼吸音弱。 辅查: 胸部CT:双肺上叶结节影,考虑结核可能性较大;左侧支气管狭窄。


诊断:左主支气管狭窄 双侧肺结核 治疗: 排除禁忌症后,在呼吸内镜室行支气管镜下气囊扩张术,嘱术后坚持规律服用抗结核药物,不可自行停药,定期复查血常规、血沉、肝肾功能,至当地结核病防治所随诊。
年轻患者单侧支气管狭窄,易误诊为先天性疾病,然而应排除肺部占位性病变。该例狭窄继发于肺结核,为瘢痕形成,在抗结核治疗的基础上,物理扩张十分必要。