主诉:患者27岁男性,慢性起病,急性发作。因“反复颈部红肿、疼痛8年,再发1月”入院。 病史:该患者缘于8年前开始反复出现颈部红肿、疼痛、伴脓肿形成,8年前曾于当地医院反复行颈部脓肿切开引流术,术后好转,但反复发作多次;2008年12月该患再次颈部红肿、疼痛发作,并于当地医院就诊,行钡餐造影后考虑“食道瘘”,行手术治疗后好转,术后7年未再发作;1月前患者再次出现颈部红肿、疼痛,抗感染治疗后症状略好转,但1月来病情反复,逐渐加重;不伴呼吸困难、吞咽不适;无心悸、胸闷、气促,咳嗽;无多饮、多食、消瘦表现,无声音嘶哑或音调低沉,无多言、性情急躁、易激动等精神异常表现。门诊以"颈部脓肿?"收入普外科。患者自起病以来精神、胃纳、睡眠可,大小便正常,体重无明显变化。



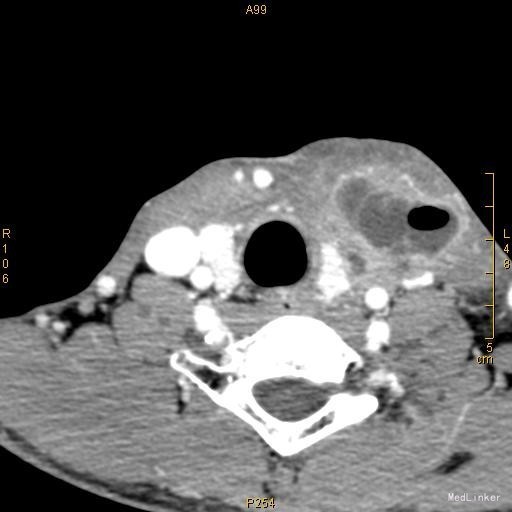
查体:颈前有明显手术瘢痕,左侧颈外侧区可触及一约3cm×3cm大小肿物,质韧,边界不清,表面光滑,不可随吞咽上下移动,触痛明显,颈部未闻及明显血管杂音。 辅查:2015-11-16我院颈部增强CT示左侧颈部感染,多发脓肿形成。

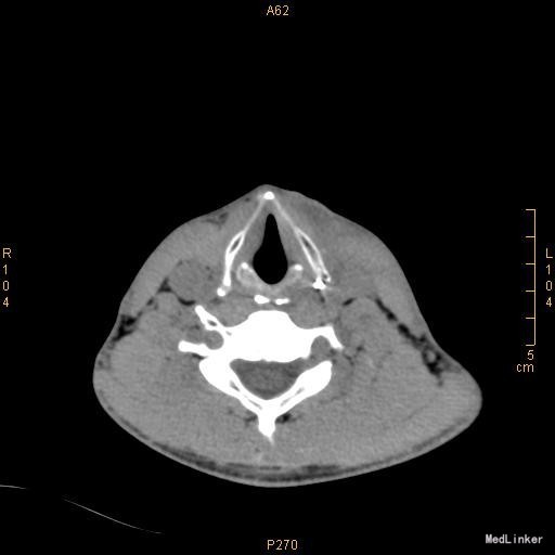
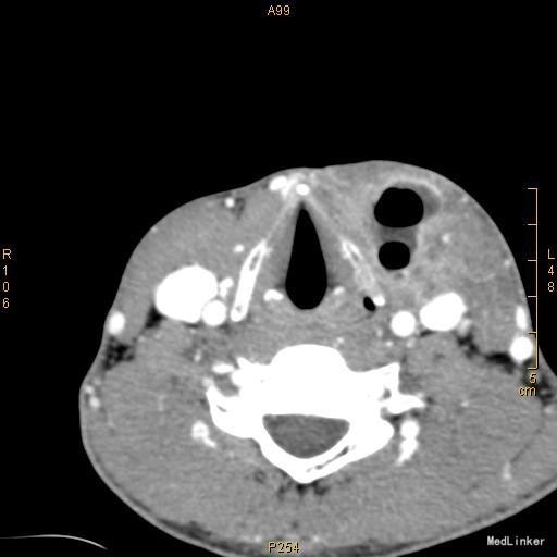
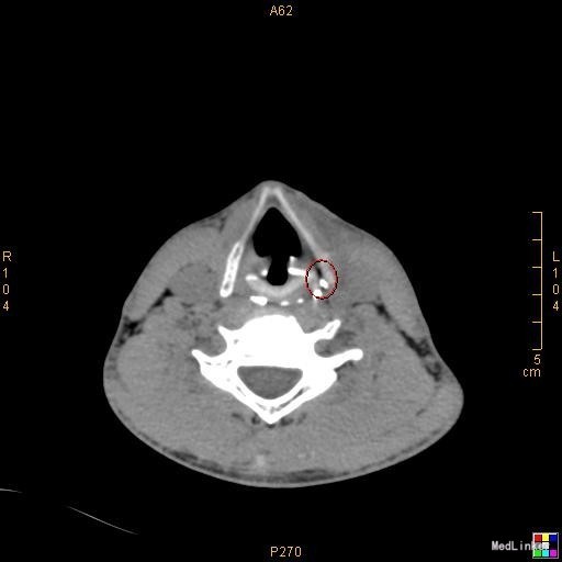
该患者在诊断上是有些困难,颈部多发脓肿是明确的,但是瘘口的位置不好确定,从而未能确诊,8年前患者行上消化道钡餐检查,诊断“食管瘘”,但是我们从8年前的影像上看,瘘口的位置太高,不像是食管的瘘口,考虑是不是梨状窝的瘘道,为了进一步确诊,我们给患者行了胃镜检查,结果胃镜发现左侧梨状窝有1个3mm大小的小孔,胃镜未能通过,食管未见明显的瘘口。为了更加明确瘘口的位置,我们与影像科商议后决定口服造影剂后行颈部CT平扫,因怕钡餐沉积在脓肿内不好排出,我们采用了口服碘化油。此次影像明确了瘘口的确在左侧梨状窝。最终诊断:左侧颈部多发脓肿;左侧梨状窝瘘道形成。 治疗:入院后予抗感染、禁食、营养支持等治疗,患者感染得以控制,请耳鼻咽喉科会诊后建议转科治疗。
该患者明确瘘口位置后,转到了耳鼻咽喉科,据耳鼻咽喉科主任说,这种病例在他们科也是少见的,进一步的治疗还在随访中。各位同道如有想法,也恳请支支招。