下载或打开 医联APP 查看完整评论
立即下载
打开APP
患者,男,52岁。主因反复间断失神发作2年入院。 患者2年前无明显诱因出现失神发作,以后平均每月发作1次,每次持续时间1~2秒,不伴有四肢抽搐,无舌咬伤、口吐白沫。后每月发作次数达5次,遂到当地医院检查,行头颅CT示:鞍旁脑膜瘤;头颅MRI示:左侧海绵窦旁脑膜瘤。为求手术治疗来我院,患者发病以来,精神好,食欲、睡眠好,大小便无异常。
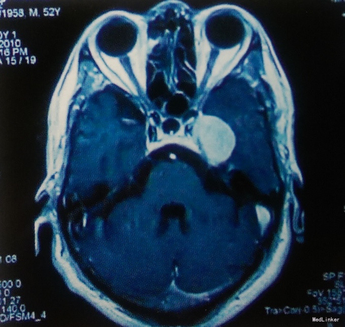
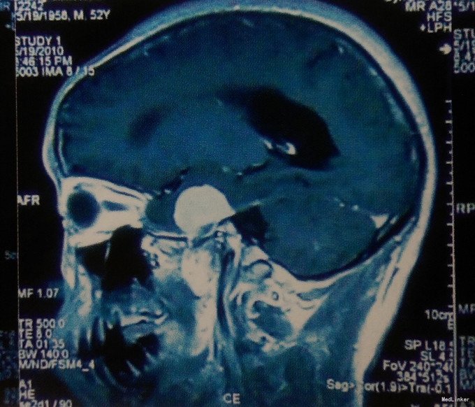
入院查体:体温37℃,脉搏80/min,呼吸20/min,血压110/80mmHg。神志清楚,言语清晰,语言流利,应答切题,查体合作,双瞳等大等圆,直径3.0mm,对光反应灵敏,双眼球各向活动充分。余查体未见异常。GCS评分15分,KPS评分100分。 术前影像学检查 头颅MRI:左侧鞍旁可见一类圆形肿瘤,肿瘤形状规则,强化均一,与左侧中颅窝底及左侧海绵窦硬膜关系密切,可见“鼠尾”征,考虑左侧鞍旁脑膜瘤。


入院诊断:左侧海绵窦旁脑膜瘤。 行常规术前检查,并于入院后第二天在全麻下行开颅左侧翼点入路脑膜瘤切除术。
相对于海绵窦内的脑膜瘤来说,海绵窦旁脑膜瘤解剖位置相对简单,容易达到手术全切。但本例患者虽然示侵入海绵窦旁的神经,但部分海绵窦硬膜已受到侵蚀,在完全切除肿瘤组织后部分海绵窦段的颈内动脉已暴露。对于该类患者,不强求全切,如肿瘤的确有部分位于海绵窦内,而且有相应神经功能障碍,需要在术前做好充分准备,如提前暴露颈内动脉,则术前需要左颈内动脉充气气囊闭塞实验。而且需要注意辨认并保护第Ⅲ、Ⅳ、Ⅴ、Ⅵ颅神经,以防神经受到损伤。