下载或打开 医联APP 查看完整评论
立即下载
打开APP
右上腹疼痛5个月。患者5个月前无明显诱因下出现 右上腹疼痛,呈持续性隐痛,无放射痛,无恶心呕吐,无腹胀腹泻,无发热,无黄疸,患者自认为胃部不适,发病以来,患者精神稍软,饮食睡眠一般,大小便通畅,大便干结,体重无明显变化。
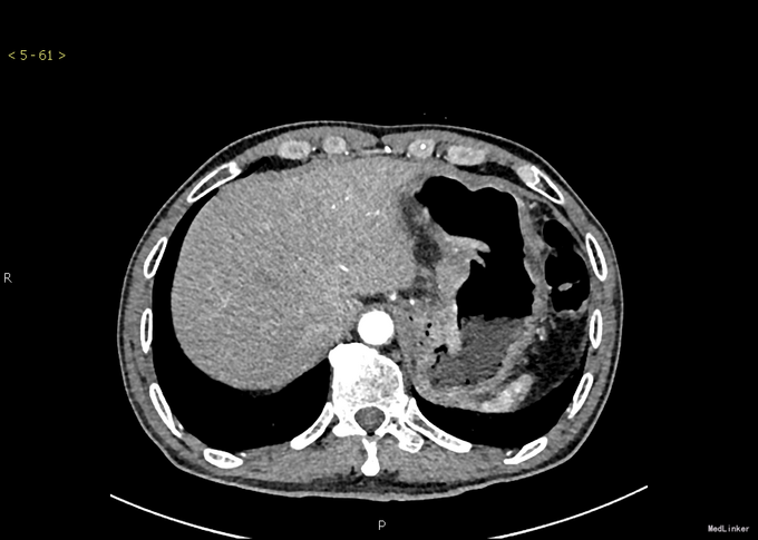
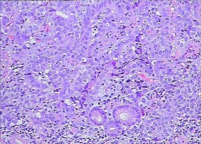
查体:无特殊。 辅查:腹增强CT:CT科室讨论:胃体部小弯侧胃壁弥漫性增厚,考虑胃癌并腹腔、腹膜后淋巴结转移可能性大,建议胃镜检查。 PET/CT提示:1.胃体小弯侧胃壁溃疡及胃周、肝门部及腹膜后多发肿大淋巴结糖代谢不同程度增高,考虑胃癌并多发淋巴结转移;其余部位未见恶性肿瘤代谢影像。 胃镜示:贲门、胃底、胃体:齿状线欠清,可见一巨大浸润肿物,从贲门延至胃底胃体,表面凹凸不平、溃烂,质脆触易出血,予活检。病理结果:(胃)分化差的癌,考虑为混合性腺神经内分泌癌。


诊断:胃 混合性腺神经内分泌癌 治疗:建议行IP方案化疗,但家属考虑后表示拒绝,经劝说无效。现予办理自动出院。
胃神经内分泌肿瘤是一组起源于神经外胚层,含神经内分泌颗粒的肿瘤。临床表现复杂多样,可无症状带瘤多年,可有消化道梗阻症状,或表现为腹痛、恶心和贫血等非特异性症状,对于典型的分泌型肿瘤,常表现为各种临床综合征。