下载或打开 医联APP 查看完整评论
立即下载
打开APP
主诉:发现左颌下肿物10年余,复发增大3月余 病史:中年男性,隐匿性起病。患者10年余前无意中发现左颌下有一皮下肿物,无其他特殊不适,至外院就诊,诊断为“皮下囊肿”,予注射器抽液后肿物缩小。10年来患者未发现左颌下肿物增大。3月余前患者再次发现左颌下肿物,肿物逐渐增大,无畏寒、发热等不适。、
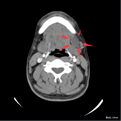
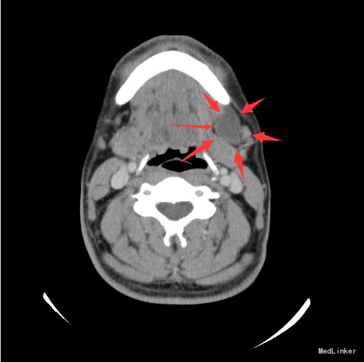
查体:左颌下可触及一肿物,大小约6*3cm,质软,无压痛,与周围组织境界不清。 辅查:颈部螺旋CT:左侧颌下三角区良性囊性肿块,考虑腮裂囊肿可能性大。




诊断:腮裂囊肿 治疗:排除手术禁忌,于全麻下行左颈深部肿物切除+颌下腺及舌下腺切除+颌下淋巴清扫术。术程顺利,术后予以消肿止痛、改善循环、预防感染等治疗,恢复满意。
随访:病理:(颌下及颏下肿物)组织内见一囊肿,囊壁由肉芽组织构成,未见内衬上皮,内含粘液,考虑为粘液囊肿。 讨论:鳃裂囊肿是由胚胎发育中鳃裂残余上皮组织发生的一种先天畸形。胚胎第4周1~4对鳃弓形成,鳃弓之间的腔隙为鳃裂,在胚胎第9周闭 合,如不闭合,残余上皮组织形成鳃裂囊肿。以第二鳃裂囊肿最为常见,约占90%。发生部位依次为耳、腮腺周围;颌下腺外侧、颈动脉间隙外侧、胸锁乳突肌前内侧、上颈后三角区、中、下颈沿胸锁乳突肌前缘,CT表现为沿胸锁乳突肌走行的圆形或类圆形囊性肿块,边界清晰,形态规则。伴有感染时囊壁增厚,边界不清,增强扫描囊壁明显强化。


