主诉:孕38周4天,阵发性下腹痛3小时 病史:患者社会性别女,24 岁。因孕38周4天,阵发性下腹痛3小时入院。20个月前停经40余天 及16个月前停经60余天自然流产,2次流产均未行清宫术。平素性生活淡漠,寡言,父母非近亲结婚,其母否认孕期服用甾体激素类药物史,其姐及兄长正常,均已结婚生子,家族中无真两性畸形病史。15 岁月经初潮,平素月经规则,7/30 d,量中,末次月经9个月前,预产期为10天后,孕早期无阴道流血等不适,停经18周自感胎动,未建围产期保健卡,一直拒绝行妇科检查。在我院定期产检6次未见异常,末次产检3天前。入院前3小时开始阵发性下腹痛,无阴道流血、流液,入院待产。入院后仍拒绝行妇科检查,反复劝说后方同意。
妇科检查:外生殖器: 双侧大阴唇皮肤松弛似阴囊样皮肤,未触及睾丸,阴蒂增粗增大长5cm、直径3cm,增大阴蒂头似龟头,下方可见纵行裂痕深2mm,双侧小阴唇为一痕迹,阴道通畅可容2指,黏膜皱襞伸展性好,宫颈未消,长1cm,容1指。 产科检查:宫高36cm,腹围104cm,左枕前位( LOA) ,胎心140/min,宫缩规律,强度中等,20 s/5 ~ 6min,女性型骨盆。 产科B超检查: 双顶径94mm,腹围333mm,羊水指数112 mm,胎盘成熟度II 级,胎心140/min,估计胎儿体重3000g。
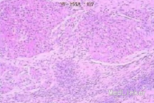
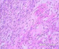
诊断:孕3产0,孕38周4天,LOA 临产,两性畸形。 治疗:拒绝阴道试产,坚决要求剖宫产。入院当日在腰麻下行子宫下段剖宫产,以LOA 顺利分娩一男活婴。新生儿Apgar评分10 分,体重3060 g,男性外阴,双侧睾丸下降至阴囊。术中探查患者左侧输卵管、卵巢未见异常,右侧输卵管起始端位于右侧圆韧带下1 /3,与子宫不通,细长,直径3mm、长6cm,右侧圆韧带较左侧明显增粗,右侧卵巢近卵巢固有韧带1/4 外观正常灰白色,有排卵痕迹,外3/4 呈猪肝样,质软,请泌尿科医师台上会诊,考虑为睾丸组织,经患者及其家属同意后行右侧卵巢及输卵管切除。术后病理检查: 镜下见卵巢及睾丸2 种组织成分,卵巢组织内见各级发育的卵泡; 睾丸曲细精管少见并萎缩,曲细精管上皮内大部分为支持细胞,缺乏各级生精细胞,周围大量Leydig 细胞样增生。


随访:术后1天查促黄体生成素0.03U/L,卵泡刺激素( FSH) 0.05 U/L,雌二醇166.53 pmol /L,孕酮1.90nmol/L,睾酮5.62 nmol /L,垂体催乳素> 9.1nmol /L。染色体核型: 46XX。术后6天痊愈出院。术后42天复查,外阴阴蒂明显缩小长3cm,阴蒂头膨大直径2cm。B 超检查: 右附件缺如,左附件及子宫正常; 肾、输尿管、膀胱均在正常位置,未见异常。乳汁量多,血睾酮5.62 nmol /L。 讨论:真两性畸形是一种性分化异常病,即性别发育畸形,患者的性腺、内外生殖器、第二性征具有不同程度的两性特征。真两性畸形临床极少见,而自然受孕足月生产更是罕见。在这里跟大家分享这个罕见的病例,希望大家多多交流。