下载或打开 医联APP 查看完整评论
立即下载
打开APP
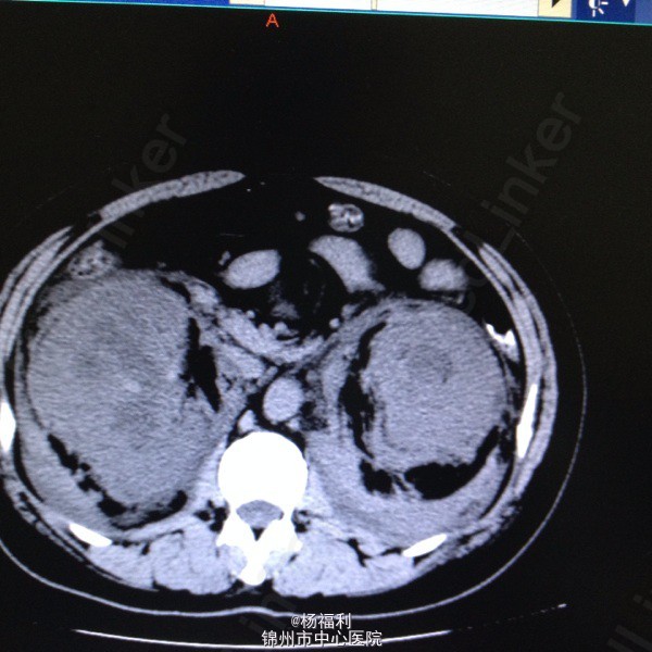
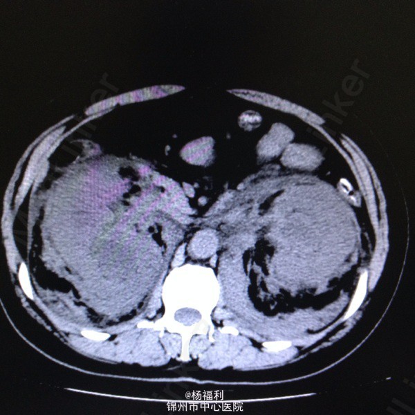
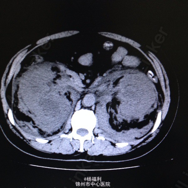
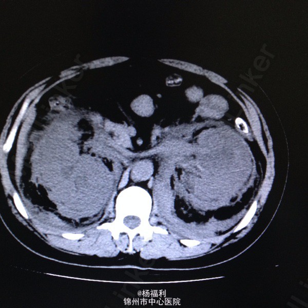
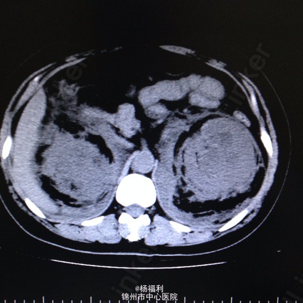
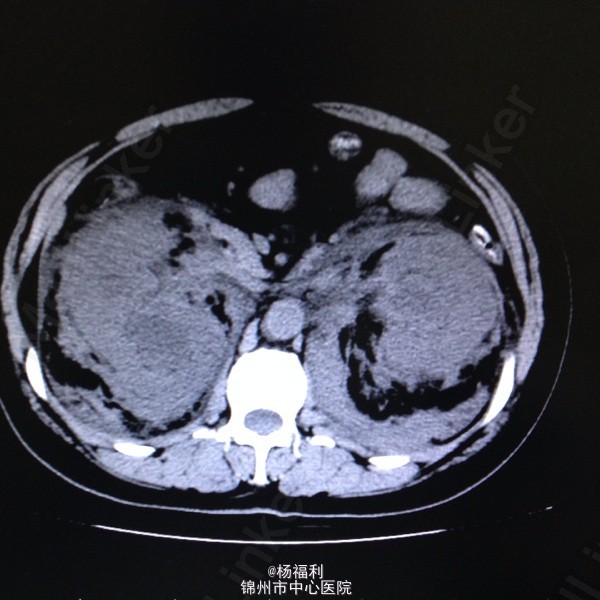
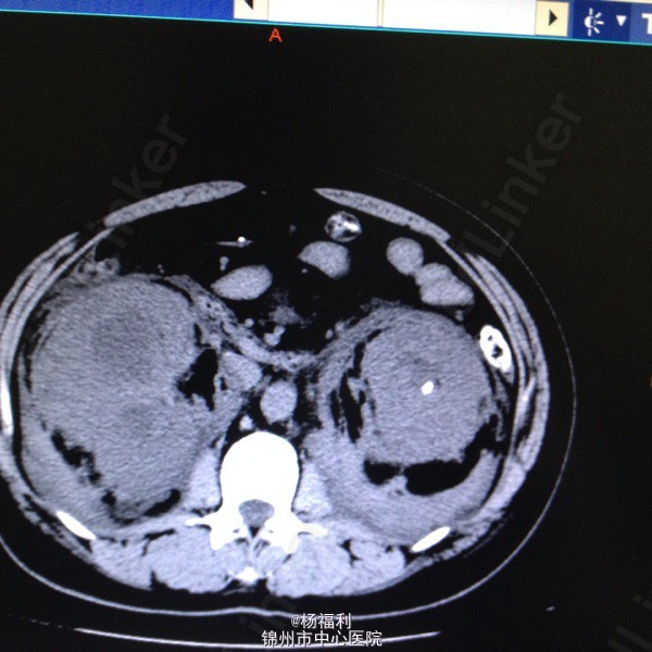
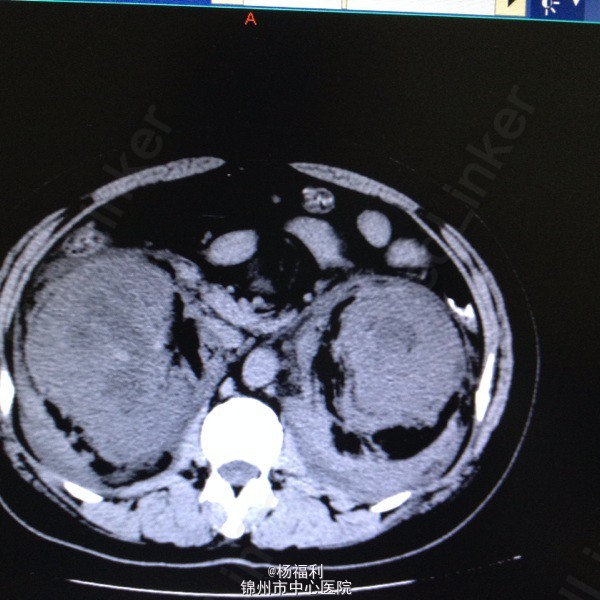
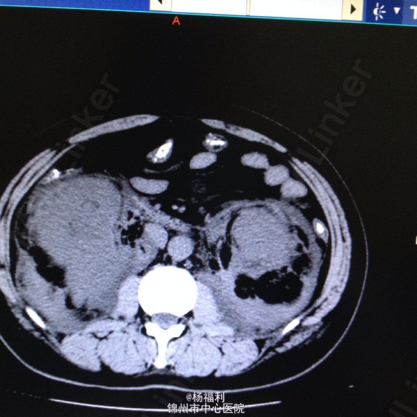
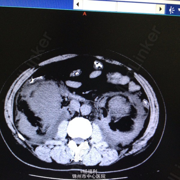
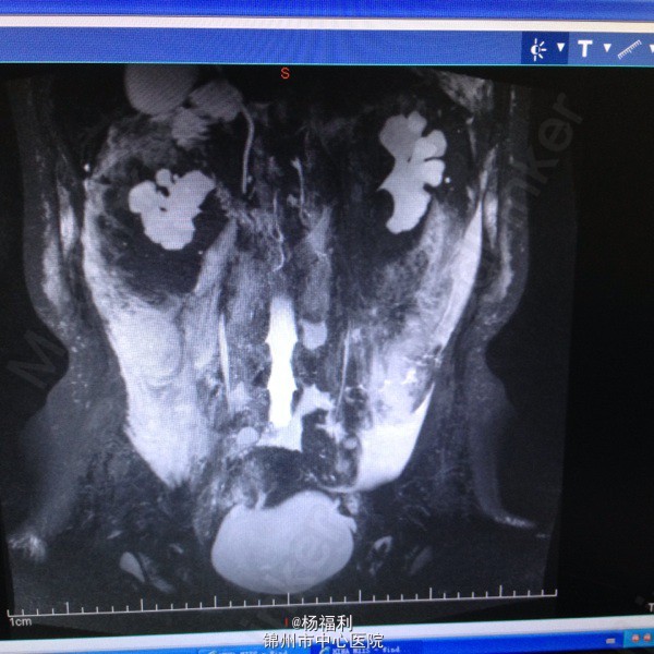
44岁女患。为消化科我会诊患者。 现病史:以上腹痛9小时为主诉入院。无发热及寒战、噁心未呕吐,无腹泻及黑便。 既往史:双眶炎性假瘤2年,口服激素治疗,并补钾。









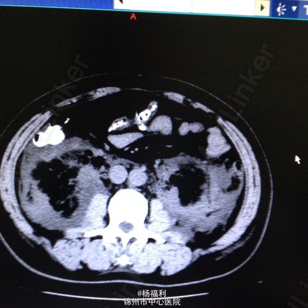
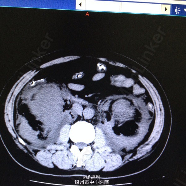
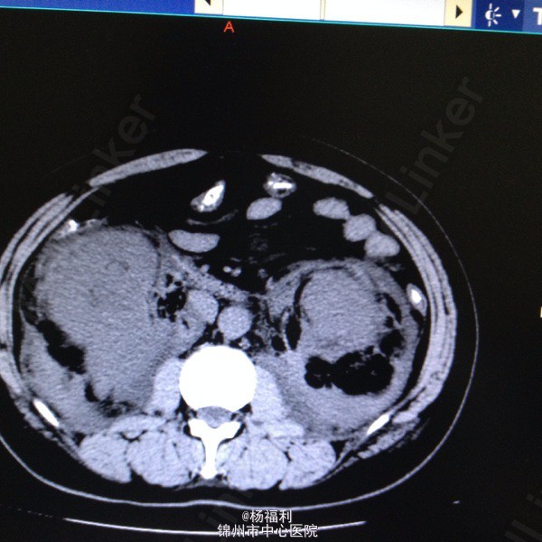
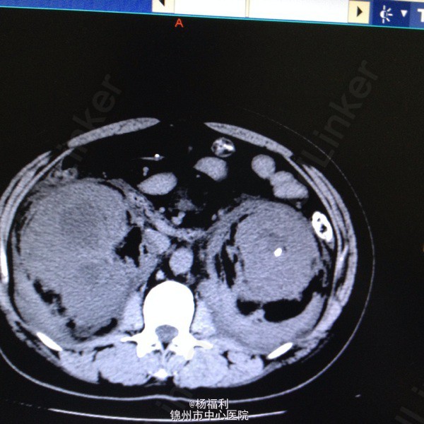
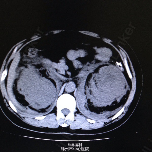
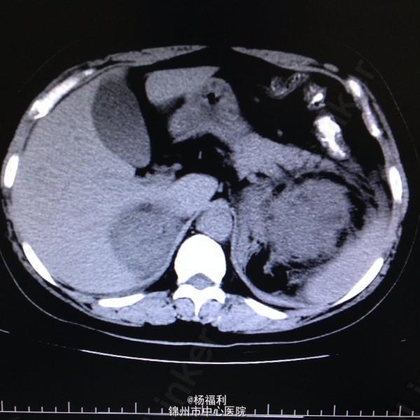
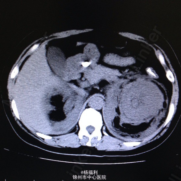
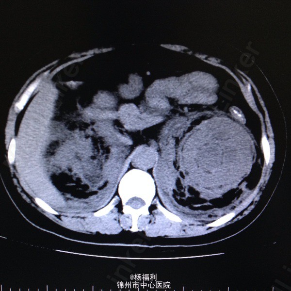
查体:上腹部压痛,无反跳痛、右侧压痛明显,右肾区叩击痛,左肾区轻叩击痛,双输尿管走形区无压痛。 辅助检查;泌尿系彩超:双肾积水。 血白细胞:9.99*10^9。 肾功能正常。 全腹部ct及MRU检查:见图片。









诊断;真的不知道是啥病。 处理:暂时止痛处理。双肾病变。不知从哪里下手。









讨论:患者疾病和眶部肿瘤有关系吗? 和激素应用有关系吗? 最后建议患者去北京大医院进一步诊断治疗。 大神快快现身。
