下载或打开 医联APP 查看完整评论
立即下载
打开APP
1、患者老年女性,急性起病 2、患者3周前因发热伴尿急尿痛在外院确诊为左肾积脓,左输尿管上段结石并左肾积液,予抗感染以及左输尿管置管术。现患者无腰部不适,无尿频尿急尿痛,无排尿困难,无血尿、脓尿,为进一步治疗收入我科,起病以来患者一般情况尚可
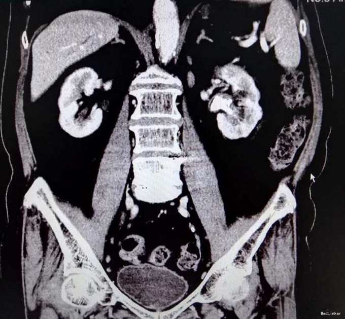
3、查体:未发现明显阳性体征 4、辅助检查:双肾CTU:1、左肾多发结石,左侧肾盂输尿管炎症,左侧双J管置入术后改变,2、双肾多发囊肿,






5、诊断:肾积水伴输尿管结石 6、治疗:入院后完善相关检查,ctu如上述,排除手术禁忌症后行输尿管软镜下碎石取石术,术程顺利,术后给予抗炎、补液等处理,术后恢复良好,予以出院
7、与开放手术相比,输尿管镜碎石术具有损伤小、痛苦轻、恢复快等优点。手术后通常1天就可以出院了,在有些医院可以进行门诊日间手术。与体外碎石相比,输尿管镜碎石术避免了反复多次治疗、等待排石过程长、碎石效果的不确定性等问题。输尿管镜碎石还适用于因为严重心脑血管疾病需要服用抗凝药物的患者,通常这些患者是开放手术或体外碎石的禁忌证。现在应用的输尿管镜有半硬镜和纤维软镜之分。通常治疗输尿管结石采用半硬镜,就是普通的输尿管镜。纤维软镜可以治疗那些普通输尿管镜无法治疗的输尿管上段的结石、以及部分较小的肾盂、肾盏结石。输尿管镜手术的碎石工具以钬激光为最佳