下载或打开 医联APP 查看完整评论
立即下载
打开APP
1、患者中年男性,慢性病程,既往有泌尿系结石史 2、患者2年前无明显诱因出现右侧腰部疼痛,疼痛呈放射状,阵发性,无恶心、呕吐,无尿频、尿急,尿痛,无排尿困难,无血尿、脓尿,我院门诊就诊,查KUB提示:右肾多发结石
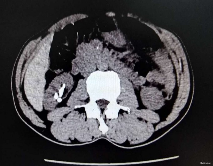
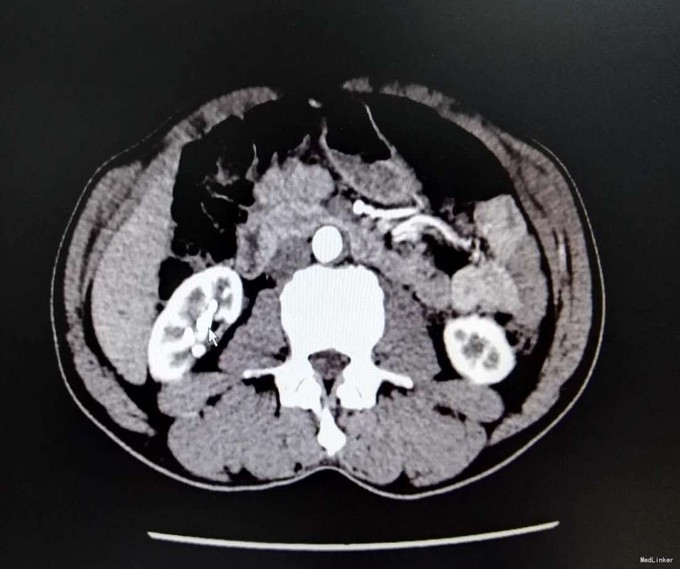
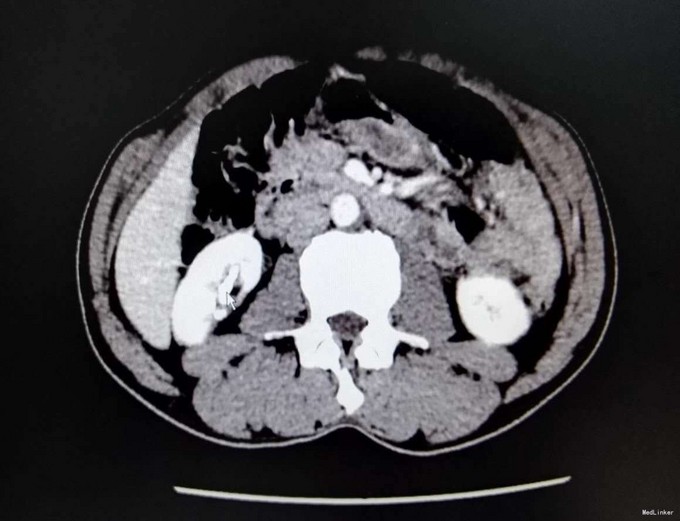
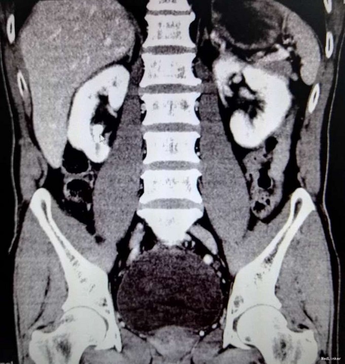
3、查体:右肾区叩击痛(+),右侧肋脊点、肋腰点压痛(+),余查体未见明显异常 4、辅助检查:我院KUB提示:右肾多发结石,CTU平扫+增强:1、右肾多发结石,右肾下极局限性萎缩2、双肾多发囊张,3、肝多发囊肿







5、肾结石(右肾多发结石) 6、住院后完善相关检查,双肾CTU平扫+增强如上述,诊断为右肾多发结石,行右侧输尿管逆行置管术,手术顺利,术后恢复较好,顺利出院
7、患者出院后2周复查,行右侧RIRS(逆行输尿管软镜手术) 8、过去 20 年间,在治疗肾结石方面,微创手术已经几乎完全取代了开放性手术。PCNL 是目前治疗大于 2cm 的肾结石的标准治疗方法,但是在高取石率的同时,PCNL 却带来了更多的手术并发症。MIPPs(Minimally Invasive Percutaneous Procedures ,MIPPs,包括 mini-PCNL 和 micro-PCNL) 和 RIRS 是在这种情况下发展的。然而,由于 MIPPs 的效果并不优于 RIRS,且有可能增加并发症,有人认为 RIRS 应该作为结石 <2cm 的肾结石的标准治疗。2013 年的 EAU 指南也推荐,如果 ESWL 不能碎石,RIRS 可以作为肾下极结石的一线治疗。但是 RIRS 也有缺点:需要软镜设备及配套碎石装置、术野较小并且可以取出的碎片较小,对患者来说费用也比较高。