下载或打开 医联APP 查看完整评论
立即下载
打开APP
患者男,34 岁,有气管鳞癌骨转移病史,他入选临床试验,接受抗 PD-L1 免疫疗法。 6 个月前,患者右鼻唇沟新出现了一处不断增大的皮损(见图 1),查体见 3 mm 大粉红色圆顶丘疹伴毛细血管扩张,实施了刮取活检。

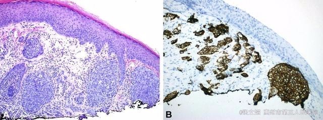
组织病理学示表皮基本正常,真皮内岛屿状上皮样细胞增殖(见图 2A)。这些细胞有明显的多形性、核深染、大量异型有丝分裂、细胞核拥挤,正常皮肤结构被取代。还显示大量淋巴细胞浸润(对恶性肿瘤的免疫反应)和血管扩张。 免疫组化染色示细胞角蛋白 5/6 和 7 阳性(图 2B),细胞角蛋白 20 和甲状腺转录因子 1 阴性。这些组织病理学和免疫组化结果符合转移性鳞癌。 患者活检部位的皮损复发,手指也出现了相似形态的新发损害,放疗均有效果(图 3)。该患者继续接受免疫治疗,所有部位的病变均保持稳定 8 个月,此后出现恶化。


气管鳞癌骨转移病史,入选临床试验,接受抗 PD-L1 免疫疗法。
本例患者在接受试验性抗 PD-L1 治疗期间,内脏部位病变保持稳定 8 个月,但真皮内出现了多发性病灶。推测可能为患者的肿瘤生物动力学本身所致,或由于持续性暴露于外部环境,这些部位的免疫系统对恶性细胞的识别降低所致。 http://dx.doi.org/10.1016/j.jdcr.2015.07.001