下载或打开 医联APP 查看完整评论
立即下载
打开APP
1、排肉眼血尿1周 2、患者于1周前无明显诱因 排肉眼血尿,尿色淡红,无腰痛,无尿频尿急尿痛,在当地医院住院治疗,检查发现右侧肾肿瘤(具体不详)。现为进一步治疗收入我科。起病以来,患者无寒战,无发热,无恶心呕吐,食欲、精神、睡眠一般,大便正常,近期体重无明显下降
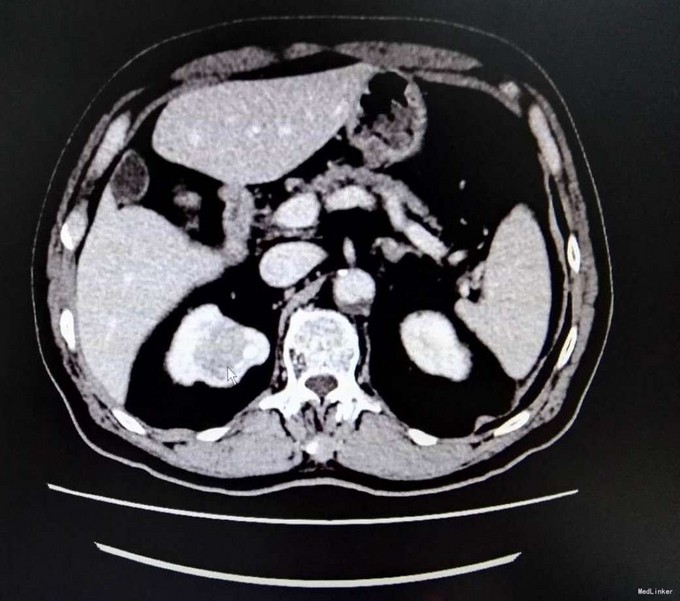
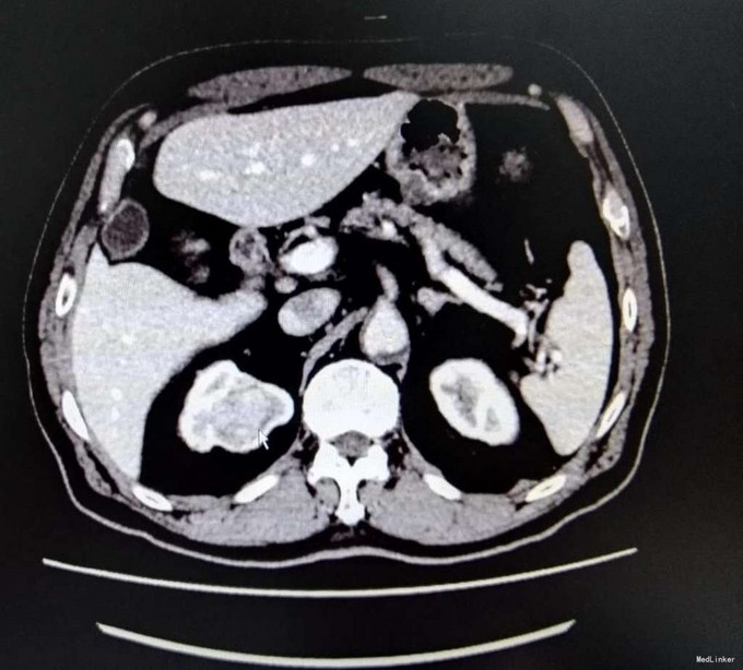
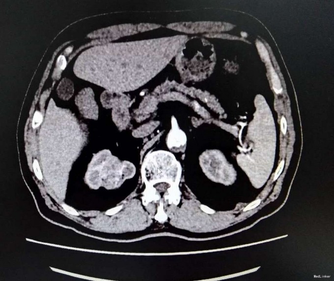
3、查体:无明显阳性体征 4、辅助检查:生化:肌酐:144umol/L。双肾CT平扫+增强:右肾上部肿块,考虑肾癌可能性大,ECT示:左肾 GFR 21.6ml/min,右肾GFR为22.3ml/min





5、肾癌 6、患者入院后完善相关检查,具体检查如上述,未见明显禁忌症,与患者及其家属充分沟通后,行腹腔镜下右侧肾癌根治术,术中未明显出血,术后患者恢复良好,术后病理提示肾透明细胞癌,患者顺利出院
6、肾癌病理类型主要为透明细胞癌,其余有乳头状肾细胞癌或称为嗜色细胞癌、嫌色细胞癌、集合管癌和未分类肾细胞癌。经典血尿、腰痛、腹部包块(肾癌三联征)临床出现率不到15%,诊断时往往已为晚期,肾癌的临床诊断主要依靠影像学检查。实验室检查作为对患者术前一般状况、肝肾功能以及预后判定的评价指标,确诊则需依靠病理学检查,根治性肾切除手术 是目前惟一得到公认可能治愈肾癌的方法。