下载或打开 医联APP 查看完整评论
立即下载
打开APP
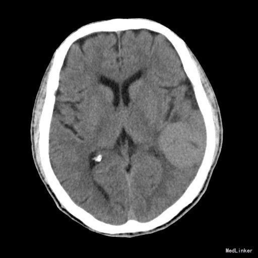
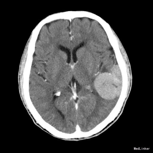
主诉:头晕、言语不清2月余 病史:老年男性,亚急性起病。患者2月余前无明显诱因出现头晕、言语不清,无头痛,遂至当地医院就诊,行头颅MR结果示:左颞部脑膜瘤。现患者为求进一步诊治来我院我科住院治疗。
查体:神志清楚,查体合作,理解力正常,言语不清、欠协调,视力视野未见异常,病理反射未引出,无脑膜刺激征。 辅查:左侧颞叶肿块,考虑肿瘤性病变,脑膜瘤可能性大。






诊断:脑膜瘤 治疗:行“左侧颞顶占位病变切除术”,术后恢复良好。
随访:术后病理追踪:(脑膜瘤)镜下见肿瘤由梭形细胞构成,部分细胞呈漩涡样排列,细胞有异型性,核分裂象罕见,结合免疫组化,可符合脑膜瘤(WHOⅠ级)。 讨论:脑膜瘤是颅内常见肿瘤之一,来源于硬膜内的蛛网膜绒毛细胞,绝大多数为良性,起病缓慢,病程长。影像上一般诊断不难,CT上表现为:肿瘤位于脑外,以宽基底与颅底或硬脑膜相连,平扫呈等或高密度,呈圆形或卵圆形,增强扫描均匀明显强化。

