下载或打开 医联APP 查看完整评论
立即下载
打开APP
主 诉:发现肺部占位半个月 现病史:年轻女性,患者半月前体检时发现右下肺肿块,胃纳可,无诉特殊不适,大小便正常,体重无减轻。
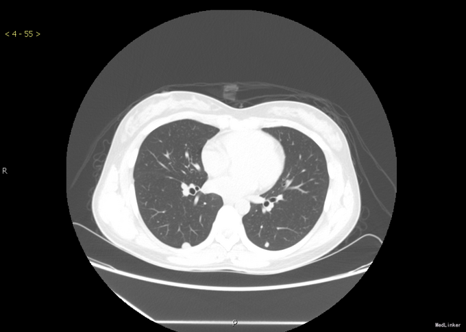
查体:无特殊。 辅查: CT提示:双肺下叶及右肺中叶多发结节灶,考虑为肺转移瘤, 肺穿刺活检:(右肺)低分化腺癌,转移性,考虑涎腺肿瘤转移。

行肺穿刺活检后,明确诊断为涎腺肿瘤肺转移,与姑息性化疗:泰素d1+奈达铂 d1+5-FU化疗,过程顺利。
随访:行6周期泰素d1+奈达铂 d1+5-FU化疗。2、4、6周期后CT评价SD,3月后复查CT评价病情基本SD,2014-04起予单药希罗达1500mg bid维持治疗半年,期间出现全身多发小水疱,涂药后可愈合。开始后出现头痛、呕吐等症状,头颅CT提示:右侧颞叶、岛叶占位,结合病史考虑转移。行局部脑放疗,并予甘露醇脱水及激素减轻脑水肿,患者症状改善。