下载或打开 医联APP 查看完整评论
立即下载
打开APP
男,60岁。 主诉:左下肢放射性疼痛2月余,间歇性跛行1月余。 现病史:患者两月前出现左下肢放射性疼痛,放射至左腰部,并未引起重视,再加卧床休息,一月余前出现间歇性跛行,且进行性加重,于当地卫生所治疗后疗效不佳,具体治疗方式不祥,为进一步诊治,患者入住我院。
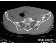
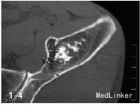
查体:左侧髋关节“4”字实验完成较右侧差,左下肢直腿抬高实验30°。 辅查:腰椎CT:L4/5、L5/S1腰椎间盘突出并左侧隐窝狭窄,相应神经根受压,行髋部X线检查提示左髂骨内占位,进一步行骨盆CT检查提示:左髂骨内可见1大小约4cm×3cm近椭圆形占位性病变,边界清楚,周围骨组织可见厚薄不一的硬化边,其中央有钙化表现,未见骨膜反应,测CT值在-118HU~-129HU之间




诊断:(1)左髂骨占位,脂肪瘤待查;内生软骨瘤待查。(2)腰椎间盘突出症(L 4/5、L5/S1)。 治疗:手术剔除。术中所见:左髂骨内可见1大小约4cm×3cm黄色软组织肿块,表面柔软,边界清楚,肿瘤内可见纤维间隔,中央部分不均匀钙化,与周围骨组织无浸润、骨质无破坏表现,术中诊断左髂骨内脂肪瘤。

随访:病人恢复良好出院。 讨论:该疾病的因目前仍不十分明确,但其常为良性,且临床常常没有症状,所以不是很容易发现,故而显得其发病率较低。该脂肪瘤常可以通过手术剔除干净,必要时可行植骨术,预后一般都比较良好。