下载或打开 医联APP 查看完整评论
立即下载
打开APP
患者为69岁老年男性,5年前因体检发现大便潜血沿线哪个和CEA升高来我院就诊。结肠镜检查发现异常结肠肿物并管腔下载,结肠镜镜头无法通过。活检病理提示高分化下奶。CT检查示无浆膜侵袭和远处转移,临床分期为II期。患者遂行结肠癌根治术,周围淋巴结清扫。术后病理标本显示癌灶已经侵蚀浆膜层,周围淋巴结未见转移征象。后患者定期复查血生化及CT,未见肿瘤复发转移。



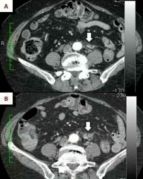
1年半后患者CT检查提示腹主动脉分叉处左侧见一边界模糊,非肿瘤性病灶,血供丰富。考虑为术后结缔组织的炎症反应。随后几次复查发现该病灶形态逐渐改变。术后3年CT检查结果显示病灶体积增大,但放射学检查依旧认为是良心病变。术后5年复查,上述病灶在CT上呈实性肿瘤样改变,其内可见骨针形成,怀疑为结肠癌术后局限性复发。但CEA和CA199等肿瘤标记物未见异常。为证实肿瘤存在,患者行FDG-PET/CT检查。检查结果示:上述病灶呈明显FDG高摄取,除上述病灶外未发现其他存在病灶,诊断为局限性结肠癌复发。
随后患者行手术切除,病变位于左侧输尿管与腹主动脉及分支之间。术后标本肉眼观可见肿块由结缔组织组成,包括白色和坚韧的瘢痕组织。组织学病例结果显示为良性脂肪组织,包括纤维血管成分。
结肠癌一般手术切除后预后较好,83.2%复发病例在3年内,5年后的复发较少见。在结肠癌术后的复查中,一般采用的影像学手段为超声、MR、CT,PET-CT应用较少,FDG的高摄取现象在正常组织或一些良性病变,如阳性肉芽肿性病变和手术创伤后组织修复中也可以出现,而被误诊为肿瘤。PET-CT不是对所有的良恶性肿瘤都能准确鉴别,目前最先进的PET技术和更多实用的呈像模态有待开发,以此来明确诊断肿瘤的良恶性,避免误诊造成不必要的手术创伤。