下载或打开 医联APP 查看完整评论
立即下载
打开APP
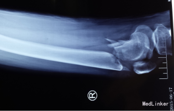
患者,女性,36岁,发生车祸,膝关节疼痛,活动受限两小时,入院检查治疗。无既往病史。
左膝部肿胀,压痛明显,叩击痛(+),左膝关节活动障碍,左膝前有伤口。严重的软组织损伤。进行常规检查,无高血压,心脏病。

光片诊断患者骨折端粉碎,软组织损伤,发生股骨踝间骨折。采用切开复位,普通钢板、髁部支撑钢板内固定治疗股骨髁间粉碎性骨折。


股骨踝间骨折予以L型髁钢板、髁支持钢板、普通钢板加骨栓、克氏针、外固定支架固定治疗效果良好。 在恢复过程中不要吃生冷、刺激、茶叶白酒、饮料容易造成骨质疏松的食品和饮料、也不要吃猪肉等寒性食物以免影响血液循环、留下后遗症。功能锻炼越早越好。它可以促进血液循环,减少肌萎缩,消除软组织肿胀,防止骨质疏松,加快骨折愈合。