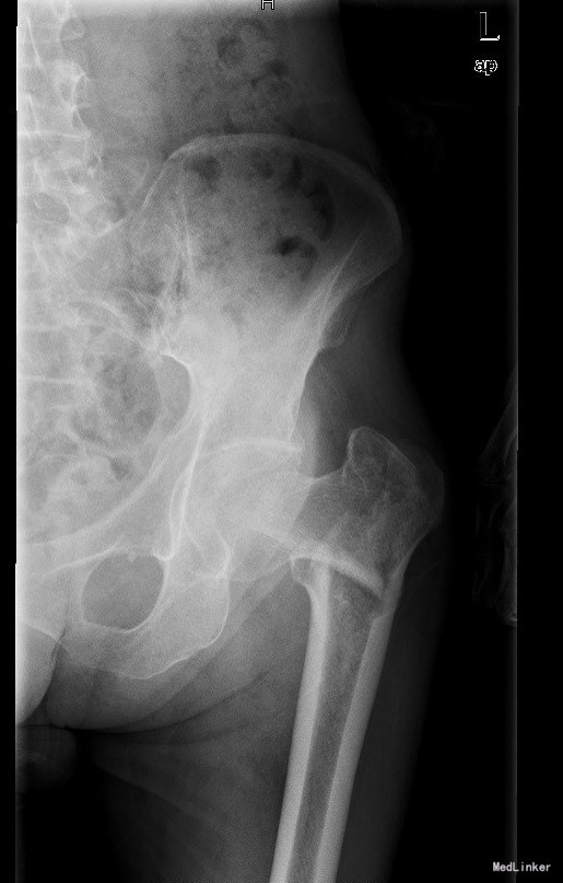
主诉:摔伤左髋部伴疼痛,畸形,髋关节活动受限8+月 现病史:、 患者于8+月前走路时不慎摔倒,臀部着地,当时感左髋部疼痛,活动加重。无恶心、呕吐、大小便失禁。自行卧床休息及口服中药治疗(具体不详),无好转。隧到彭州同一医院就诊。行X线示:左股骨转子间骨折,给予保守治疗。患者近半年来,左髋部疼痛无明显好转,行走困难。今为行进一步治疗到我院就诊,门诊行X线示:左股骨转子间陈旧性骨折。隧收住我科。 患者自起病以来精神、饮食、睡眠稍差,大小便正常。体重无明显增减。患者98年诊断为:类风湿性关节炎。曾以94年及2008年行腹外疝手术。






查体:T:36.5oC,P:80次/分,R:20次/分,BP:134/70mmHg。神志清楚,无病容,皮肤巩膜无黄染,全身浅表淋巴结未见肿大。颈静脉正常。心界正常,心律齐,各瓣膜区未闻及杂音。胸廓未见异常,双肺叩诊呈清音,双肺呼吸音清,未闻及干湿啰音及胸膜摩擦音。腹部外形正常,全腹柔软,无压痛及反跳痛,腹部未触及包块,肝脏肋下未触及,脾脏肋下未触及,双肾未触及。双下肢无水肿。 专科检查:跛行步态,双手多指指间关节稍屈曲尺偏畸形,左肘关节屈曲畸形。左肘关节及左髋部压痛,左侧肘关节屈曲10°畸形,双腕关节屈10°伸10°左右,活动受限。左髋关节屈伸活动受限,左下肢较右下肢短缩约4.0cm。颈干角85°左右,纵向叩击痛明显Allis征(+)、踝关节活动轻度受限 辅助检查:左股骨转子间陈旧性骨折




诊断:1、左股骨转子间陈旧性骨折畸形愈合伴髋内翻畸形;2、类风湿性关节炎累及多关节 治疗:全麻下行左股骨转子间陈旧性骨折截骨矫形取髂骨及异体骨植骨、PFNA内固定术
手术顺利,术后患者骨折愈合可,逐步行功能锻炼后,髋关节功能恢复良好