下载或打开 医联APP 查看完整评论
立即下载
打开APP
主诉:答非所问1周。 患者1周前无明显诱因下出现答非所问,无发热、寒战,无恶心、呕吐,无头晕、头痛,无四肢抽搐,无昏迷不省。起病以来,患者精神、睡眠、胃纳好,无进行性意识障碍,大小便正常。

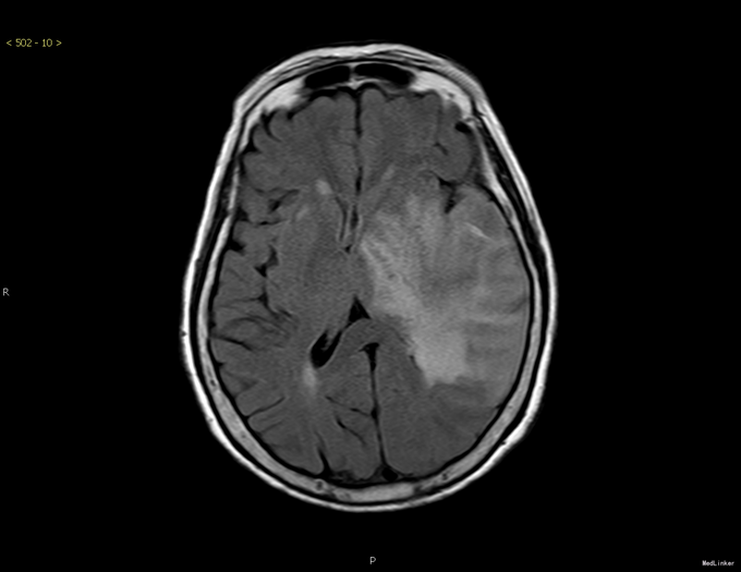
查体:神智清晰,精神行为无异常,对答不切题,理解力、记忆力、计算力、定向力、判断力患者未能配合检查。其余无特殊。 头颅CT平扫+增强结果示:左侧颞顶叶占位病变并周围大片水肿。
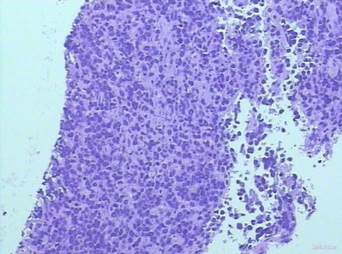
诊断:原发中枢神经系统淋巴瘤(弥漫大B细胞淋巴瘤,非GCB组) 治疗:入院行立体定向下左颞叶病灶活检术,病理:非霍奇金淋巴瘤,B细胞性,原发中枢神经系统弥漫大B细胞淋巴瘤,非GCB样免疫亚型。予替莫唑胺150mg d1-5口服和第1疗程HD-MTX治疗。

随访:经过脱水和化疗后,患者对答明显好转,无不适,定期随访化疗中。