下载或打开 医联APP 查看完整评论
立即下载
打开APP
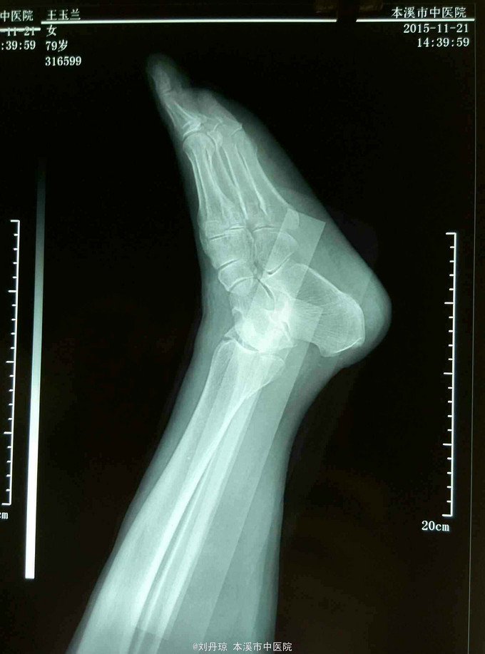
左踝关节刺痛,活动受限2小时。病史:患者2小时前下楼梯时不慎扭伤左踝,伤后左踝刺痛,活动受限,遂来我院门诊求治。既往:冠心病史20年,心梗病史1年。
左踝关节畸形,肿胀明显,压痛阳性,左踝关节功能障碍。足背动脉搏动清,足趾活动良好。辅查:DR:左踝关节骨折,三踝骨折移位明显。









诊断:左踝关节骨折 旋后外旋型IV度 治疗:手法整复,活血膏外用,夹板固定。接骨丹口服。
随访1年。讨论:对于踝关节骨折脱位,治疗的目标,是将关节脱位解剖复位。并为此自骨折愈合,最终使踝关节恢复良好的功能。结果与踝关节解剖重建的好坏直接相关。治疗的手段,不外乎,包括保守治疗和手术治疗两种,近三十年来,由于人们对生活质量和功能结果的要求的提高。结果评价的标准,发生了变化,保守治疗,和手术治疗的适应症,有了明显的变化。闭合复位,对于某些,类型的环关节骨折脱位很难,达到和保持器解剖复位,为了丢失和反复长福,将影响治疗效果。另外长时间的制动,也可导致失用性骨质疏松,和踝关节僵硬。但这些通过适当的方法都是可以避免的。本例患者,经一次复位达到,维持解剖复位。本例患者由于全身条件的影响,患者不愿接受手术。故采用保守治疗。