打开应用

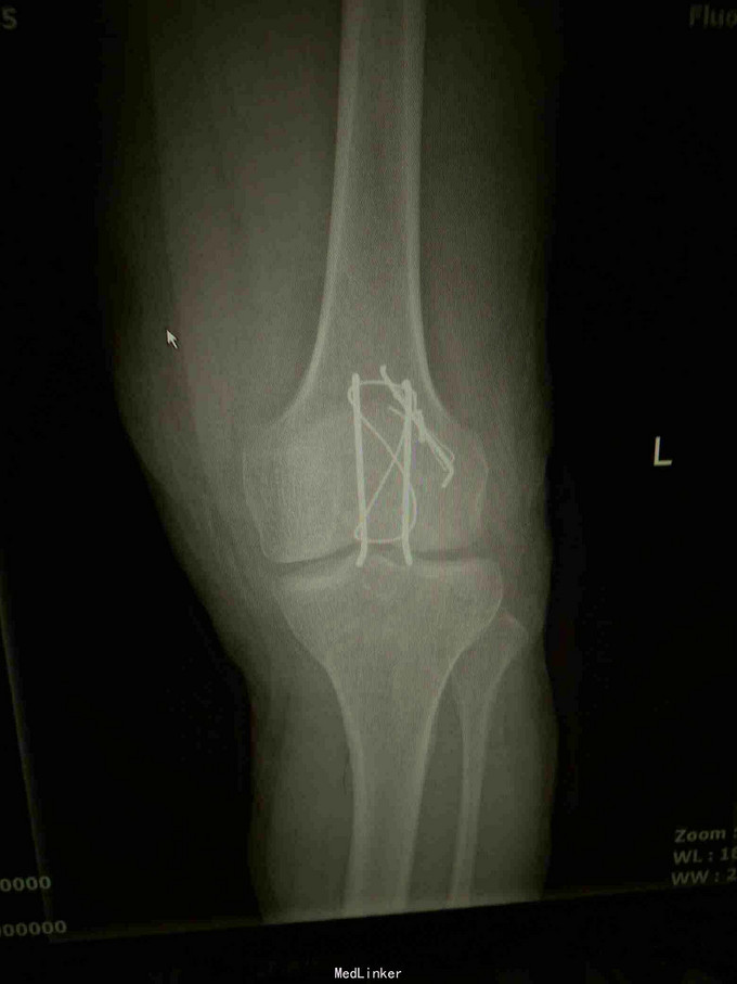
左髌骨粉碎性骨折

胡医师   德阳市人民医院
骨折 髌骨骨折

主诉 病史

摔伤致左膝疼痛肿胀,活动受限1小时; 患者摔伤导致左膝疼痛,肿胀,活动受限,无皮肤破溃,无活动性出血,无晕厥等。

查体 辅查

查体:左下肢活动受限,背伸障碍,左膝关节明显肿胀,压痛,扪及骨擦感,左足感觉及血循环可。 x片:左髌骨骨折。

诊断 处理

诊断:左髌骨粉碎性骨折; 治疗,石膏固定,消肿止痛,行髌骨骨折切开复位克氏针内固定术,术中克氏针张力带钢丝固定,术后石膏固定。

随访 讨论

术后好转出院,术后遵嘱复查。

发布于 15-11-21 14:35

0 个评论

暂无评论
发送