下载或打开 医联APP 查看完整评论
立即下载
打开APP
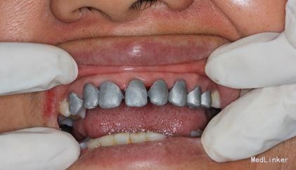
患者女,61岁,修复体脱落,要求重新修复。.数年前上前牙 4-3烤瓷牙全冠修复13.11.22.23牙体缺损严重 既 往史 :无过敏史.体检
14.13.12.11.21.22.23.普通烤瓷连冠修复,根管治疗不彻底
诊断:牙冠脱落 治疗计划:1`13.11.22.23行根管治疗 2`13.11.22.23根管治疗后行桩核修复 3`13.12.11.21.22.23.24.25.钴铬烤瓷分体修复 治疗:1.患者接受建议并同意治疗 2.口内根管治疗后行桩核修复 3.桩核固位后备牙~取模并带入临时冠









患者对治疗效果很满意