下载或打开 医联APP 查看完整评论
立即下载
打开APP
患者女,46岁,因“右上腹疼痛10余天”于2014年入院。
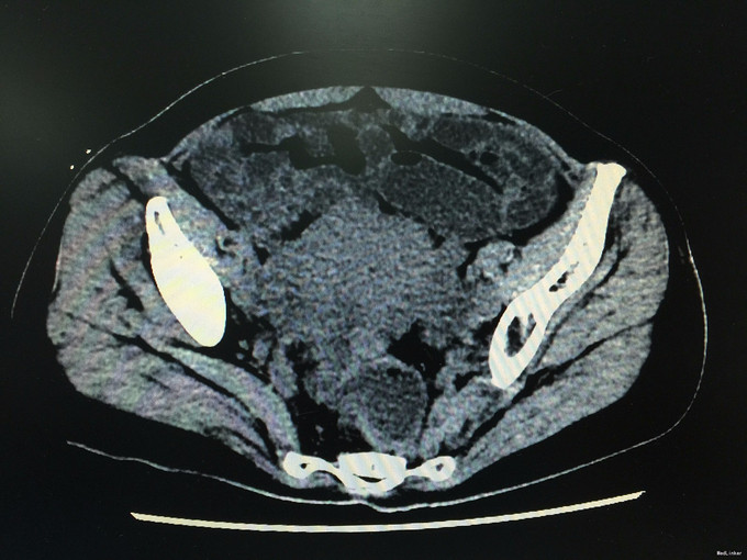
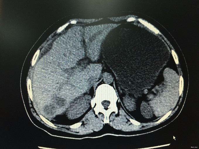
查体无特殊。辅助检查:全腹螺旋CT平扫+增强:1.考虑结肠癌,侵及肠壁全层,并盆腔、子宫直肠陷窝多发种植转移,子宫受侵,双侧附件转移,腹膜及大网膜广泛种植转移。2.肝多发转移瘤:脾门区多发结节,转移瘤可能性大。3.肝左外叶异常灌注。4.胆囊泥沙样结石,慢性胆囊炎。肠镜提示:1.直肠粘膜下隆起(囊肿?)2.内痔。进一步行肝穿刺:病理符合中分化腺癌,免疫组化提示肠癌转移可能性大。


诊断:转移性腺癌:肠癌? 排除化疗禁忌症予FOLFOX方案化疗3程。疗效评估PD。
3程FOLFOX方案化疗后患者肿瘤病情进展,予更换为FOLFIRI方案姑息化疗9程,后予希罗达口服维持化疗。期间患者感腹胀较前加重,继续予FOLFIRI方案化疗5程后腹胀好转。4程化疗后复查CT提示肿瘤稳定。后再次出现腹胀加重,彩超提示大量腹水,予抽腹水、腹腔内注射DDP 60mg,腹胀可短暂缓解。后改安维汀+NC方案治疗3程。 因患者腺癌来源不太明确,所以化疗方案治疗无效后也尝试多种方案,目前仍在治疗当中,希望患者病情能继续维持稳定。