下载或打开 医联APP 查看完整评论
立即下载
打开APP
患儿男16天,因哭闹伴阴囊、阴茎淤血肿胀1天余入院。疑似嵌顿疝。
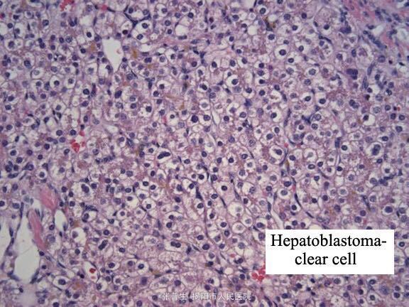
查体:哭闹不安,右侧腹股沟可见少许条索瘀斑。阴囊阴茎淤血肿胀。肝肋下7厘米,剑下5.5厘米。辅查:WBC1万3,HB89g/L,Ct 提示肝左右叶多发低密度影。穿刺活检示肝母细胞瘤

诊断:肝母细胞瘤 处理:行肝母细胞瘤切除手术,后转内科行化疗,目前仍在随访中。
本例以阴茎淤血起病的HB在临床上少见,极易误诊,尤其是与嵌顿疝鉴别。追问本例患儿其母孕期接触生产性粉尘较多,患儿患病是否与此有关尚不能明确。 摘自新生儿杂志