左上腹隐痛伴纳差2周。 患者诉2周前无明显诱因出现上腹部隐痛,无放射痛,伴纳差,偶有反酸,无恶心呕吐黑便,无发热盗汗,到当地医院就诊,行腹部超声等检查,予以药物治疗,未见明显好转,具体不详,为进一步治疗,特来我院门诊就诊,行胃镜检查提示胃溃疡性质待查,门诊拟“胃溃疡”收入院。入院症见:神清,精神可,左上腹隐痛,纳差,偶有反酸,无恶心呕吐黑便,无发热盗汗。睡眠一般,大小便正常,近期体重无明显变化。 既往身体健康,无高血压、冠心病、糖尿病病史,无肝炎、结核等传染病史,无手术及外伤史,无输血史。
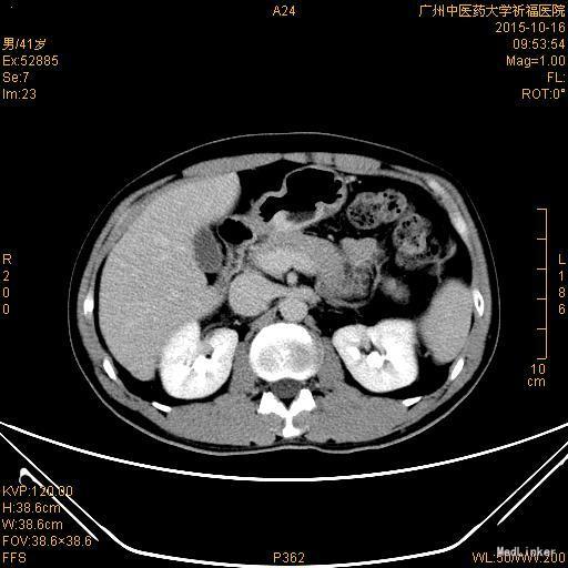
查体:听诊双肺呼吸音清晰,未闻及干湿性啰音。心前区无隆起,心尖搏动位于左第五肋间锁骨中线内侧约2cm处,心浊音界正常,心率85次/分,心律整齐,心音正常,心脏各瓣膜听诊区未闻及病理性杂音。腹部较平坦,未见胃肠型及胃肠蠕动波,无腹壁静脉怒张,腹式呼吸活动不受限,腹肌柔软,全腹无压痛及反跳痛,肝区无压痛,肝浊音界位置正常,肝脾未触及,Murphy征(-),移动性浊音(-),双肾区无压痛及叩痛,肠鸣音正常,未闻及血管杂音。 辅助检查:2015-10-13我院体检中心 胃镜提示 胃溃疡性质待查。2015-10-14体检中心病理:(胃窦)中分化腺癌,HP-。
诊断:胃癌(胃窦中分化腺癌) 入院后完善相关术前检查无明显异常,排除手术禁忌症,经科室讨论治疗方案,于2015-10-23送手术室在气管插管全麻下行“腹腔镜远端胃癌根治术”。术程顺利,术后予以心电监护,低流量吸氧,制酸、护胃、抗感染、肠外营养等治疗。术后病理报告:胃中分化腺癌,蕈伞型,大小分别为3.0cmx1.5cmx1.5cm,2.0cmx1.0cmx1.0cm,浸润胃壁全层,可见坏死、脉管及神经侵犯。近端、远端两切缘未见癌累及。淋巴结见转移癌(第一组0/0,第八组0/2,第十一组0/0,胃小弯侧12/14,胃大弯侧8/9,大网膜0/0,结内癌巢最大直径1.5cm)。免疫组化结果显示:CK20(-),CK7(+),GST-π(++),HER2(-),Ki-67(50%+),P53(80%+),PgP(+),TOPOII(+),villin(+)。10-29 复查血常规:WBC 7.47×10^9/L,RBC 4.25×10^12/L,PLT 220×10^9/L,HGB 123g/L,Neu% 75.0%,CRP 20.2mg/L;肝肾功、电解质无明显异常。患者外科情况稳定后转肿瘤内科进一步治疗。
患者术后随访,饮食、大小便正常,无腹痛、腹胀不适。每日少食多餐,饮食量逐渐增大。 腔镜远端胃癌根治术的手术方式有全腹腔镜、腹腔镜辅助和手助腹腔镜手术方式。腹腔镜手术最大的优势是缩小了手术切口并减少了对腹腔的干扰。腹部小切口方便胃癌标本取出以避免强力牵拉而增加肿瘤细胞脱落种植的危险、利于淋巴结清扫等优势。因此该病例我们均选择全腹腔胃癌根治术。当然选择手术方式还应根据术者的经验、技术熟练程度、患者经济条件情况、肿瘤的部位和大小、淋巴结转移情况、肿瘤浸润深度及远处是否转移、上腹部是否有手术史等条件决定。因此患者入院后术前检查、准备及讨论尤其重要,一般认为腹腔镜胃癌手术适用于肿瘤浸润深度在T:(侵及肌层或浆膜下)以内者,但浆膜受侵面积<10cm者;胃癌术前、术中分期考虑为I、Ⅱ、Ⅲa期者;无上腹部手术史,无腹部严重粘连者,无严重心、肺、肝、肾等疾 患"。对术前评估分期困难的病例,应行腹腔镜探查术中评估,对于不宜在腔镜下完成手术的病例,应及早中转开腹。
