下载或打开 医联APP 查看完整评论
立即下载
打开APP
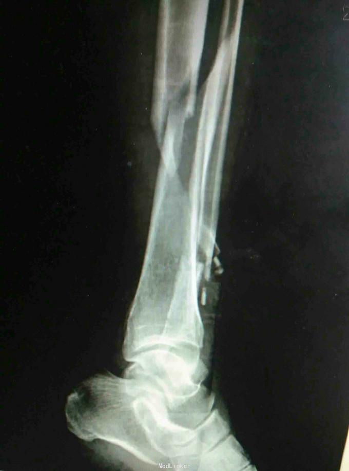
左小腿疼痛畸形,活动受限5小时 患者因骑车摔伤出现左小腿疼痛、畸形,当即出现活动受限无法站立,余未诉特殊不适,急诊摄片提示左胫腓骨远端骨折。
查体:左下肢肿胀畸形,局部可及骨擦感,压痛明显,未见明显张力性水泡,踝关节活动轻度受限,足趾感觉无异常,对侧膝踝关节活动无异常。 辅查:摄片提示左胫腓骨远端骨折。


诊断:左胫腓骨远端骨折 治疗:骨折切开复位内固定


讨论:相比上肢尺桡骨双骨折,下肢胫腓骨双骨折更易发生骨筋膜室综合征,应警惕。对胫腓骨碎骨不易过大范围剥离软组织进行复位,以免影响血运得不偿失。