下载或打开 医联APP 查看完整评论
立即下载
打开APP
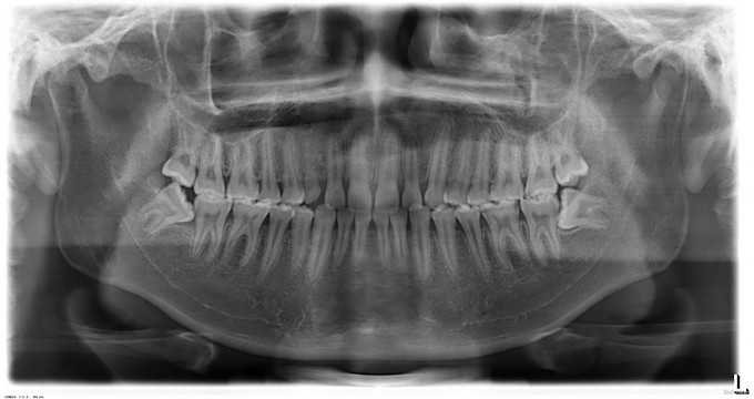
左颧骨、颧弓骨折术后7个月,患者于7个月前因外伤导致左颧骨、颧弓骨折后于我院全麻下行“左上颌骨、颧骨颧弓、鼻骨骨折切开复位内固定术”。术后钛板存留,今为进一步治疗来我院就诊,门诊以"左颧骨、颧弓骨折术后钛板存留"收入院。
双侧颜面稍不对称。左眼周可见疤痕,眼裂较右眼变窄。左眼视物不见,瞳孔对光反射(-)。双侧颞下颌关节髁突动度对称,无活动受限,无弹响、无疼痛。开口度、开口型正常,咬合关系正常。


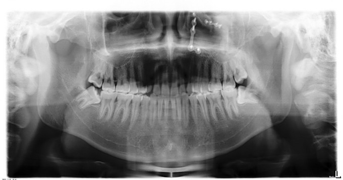
诊断: 左颧骨、颧弓骨折术后钛板存留,全麻下行“左上颌骨、颧骨钛板钛钉取出术+左颧骨磨削术+邻近瓣转移修复术”,术后予预防感染、消肿等对症治疗。
现患者一般情况可,口外缝线已拆,伤口无明显红肿渗出,经上级医师批准,予以出院。眼科进一步诊治左眼