患者,男, 56岁主因“黑便一周,呕血一次”入院。患者于入院前一周前进食冷饮后解柏油样黑便一次,当时伴心慌、意识障碍,于当地卫生所就诊,给予止血、抑酸护胃治疗,患者仍间断解柏油样稀便,每日2-3次,伴乏力、纳差,患者无发热、腰痛、眼黄、尿黄等不适。患者于早餐后感恶心,并呕吐鲜红色血液一次,量约300毫升,伴心慌、出汗,遂于当地医院给予抑酸、止血、输血治疗,患者未再呕血,仍间断黑便,伴心悸、胸闷,急诊以“上消化道出血”收入院。患者否认高血压、冠心病、糖尿病史,否认肝炎、结核史,否认手术外伤史,否认药敏史。
入院时查体: BP89/54mmHg,神清合作,贫血貌。双肺呼吸音清, HR96次/min,律齐,腹软,上腹正中压痛,无反跳痛,肠鸣音6次/分,双下肢水肿。 实验室检查:血常规:白细胞(WBC) 8.9×109 /L,红细胞(RBC) 1.78×1012 /L,血红蛋白(HGB) 57g/L,血小板( PLT) 157×109 /L;粪便常规:大便隐血 强阳性。凝血功能: 纤维蛋白原含量 1.610 g/L。肝功能:总蛋白 39.9 g/L,白蛋白 25.1 g/L,球蛋白 14.8 g/L,血清总胆固醇 1.88 mmol/L,高密度脂蛋白胆固醇 0.50 mmol/L。肿瘤全套正常。上腹部CT:1.肝内低密度影,鉴别囊肿与血管瘤及其它,请结合临床;2.肝内胆管轻度扩张,请结合临床;3.右肾囊肿,右肾结石;4.前列腺肥大,盆腔多发钙化灶。胃镜检查见胃体小弯侧可见红色血管残端,周边粘膜苍白、粗糙,活检取材;胃窦粘膜充血肿胀,散在花斑样改变,内镜诊断:1、胃体血管残端(Dieulafoy病)2、浅表性胃炎(2级,活检)。病检示“胃体粘膜重度慢性炎伴糜烂”。

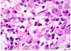
入院后给予抑酸,止血,胃肠减压以及输血、补液支持等治疗,患者胃引流间断引出鲜红色血样液体。入院后第3天患者再次呕鲜血600mL,随即转外科行腹腔镜联合术中胃镜胃部分楔形切除术。术中见胃体小弯侧一血管残端裸露,可见搏动性出血,周边粘膜组织水肿增厚。术后病检示“粘膜内印戒细胞癌”。

本例患者胃镜仅见胃壁粘膜局部充血肿胀表现,未见明显溃疡及结节灶。术后病检提示“胃癌”。本例患者以上消化道出血为主要临床表现,无肝硬化病史,胃镜见胃体小弯侧动脉残端并出血,术前诊断Dieulafoy病,术后大片组织病理诊断胃癌,究竟胃癌和Dieulafoy病是单纯合并出现或是在胃癌的基础上诱发Dieulafoy病, 有待于进一步研究。