下载或打开 医联APP 查看完整评论
立即下载
打开APP
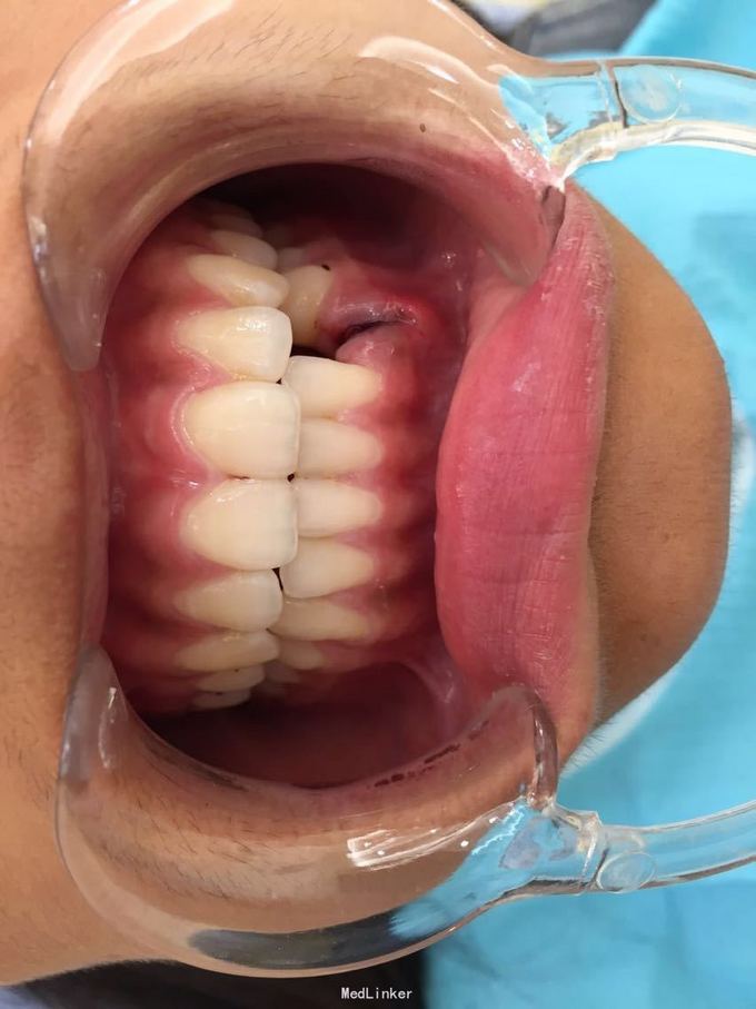
牙脱位24小时要求处理 昨晚8点吃铁板烧的时候咬到硬物致左下尖牙脱落到铁板烧中污染,取出牙齿用纸巾保存,第二天到就近医院处理,医生建议其做种植牙修复或烤瓷桥修复,脱落牙齿无法保留,患者又陆续问了4家医院都无法保留脱落牙齿,晚上8点找到我院(夜班8点下班)要求处理。



D3完全脱位,伤口血凝块已经凝固,颊侧牙龈钝性撕裂。D2D4无叩痛和松动。脱落牙齿牙体硬组织完好,牙周膜干裂,牙体上有纸屑和食物残渣,根尖有牙髓组织呈黑红色。
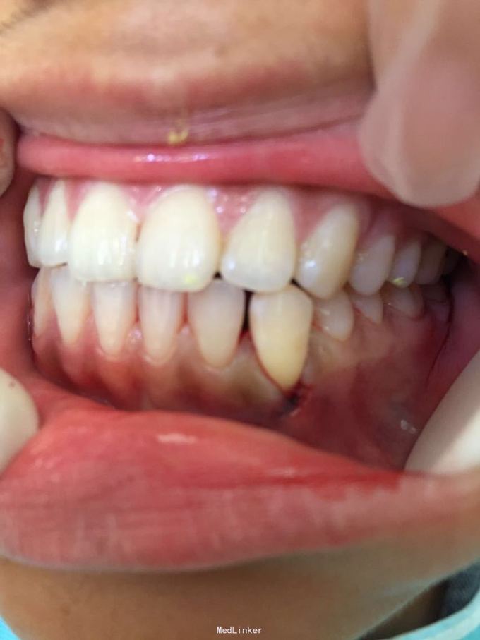
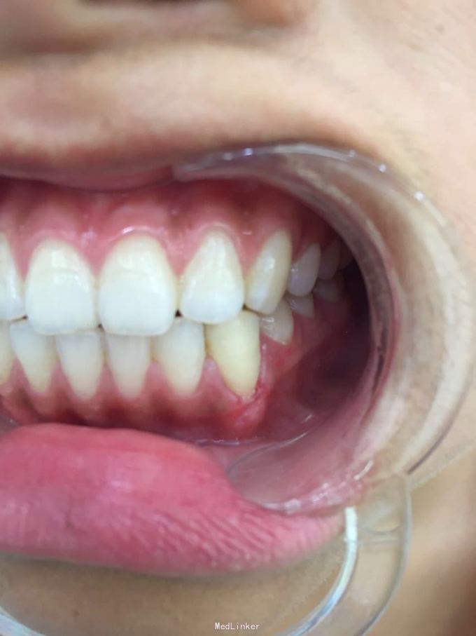
D3牙脱位 D3体外根管治疗后垫底充填,盐水和双氧水浸泡后,刮尽牙根的牙周膜后放置盐水和庆大霉素液中15分钟。局麻下刮除牙槽窝内血凝块至流鲜血后盐水和庆大霉素交替冲洗,明胶海绵拭干牙槽窝,浸泡好的牙体植入牙槽窝内并复位,舌侧树脂牙周夹板固定D123456,牙周上派丽奥。随诊




1天后复诊,3天后复诊,7天后复诊,一个月后复诊,3个月后复诊。1个半月后复诊未发现牙周有较大吸收和炎症感染。






