下载或打开 医联APP 查看完整评论
立即下载
打开APP
患者女性,70岁,因腹胀半年余,加重1周入院。患者于半年前无明显诱因出现腹胀,余无特殊,未重视,1周前患者自觉腹胀较前加重,伴咳嗽后尿失禁,外院CT提示:大网膜密度增高,建议进一步检查,肝脏多发低密度灶,盆腹腔积液。患者为进一步检查我院就诊。11年前患者我院行股骨头置换术,10年前行甲状腺腺瘤切除术。
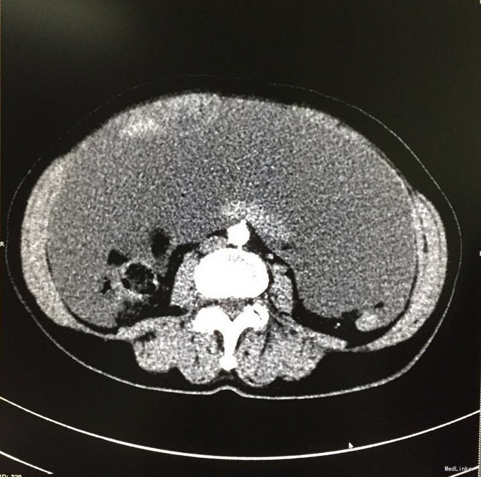
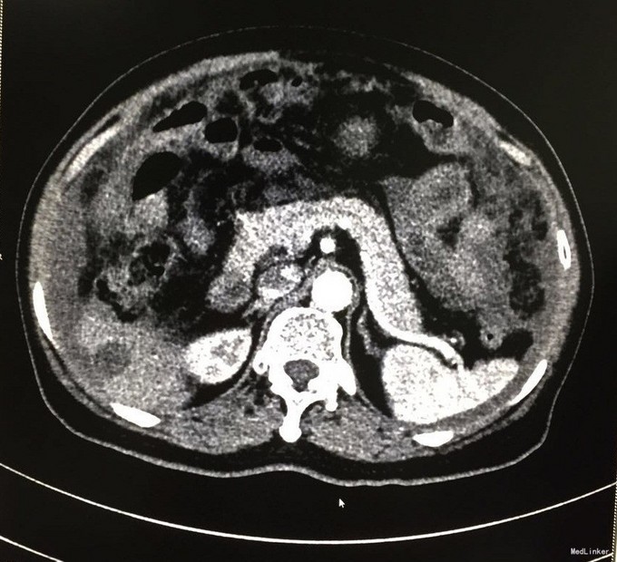
查体:腹膨隆,可及一包块,质中,活动可,边缘不清,位置较固定,无红肿热痛,无压痛。 辅查:我院CT:盆腔巨大囊性肿块,大小约15x10cm,考虑附件来源恶性肿瘤,囊腺癌可能;肝内一结节状稍低密度影,增强后轻度强化,转移瘤可能;胆囊多发结石;盆腹腔积液。肿瘤标志物:CEA:33.2U/mL。



入院诊断:腹腔肿物、胆囊结石、腹水。入院后行剖腹探查术,术中见腹腔大量胶冻样物约5000ml,左卵巢见一20x20cm囊性包块,包膜不完整,可见破溃口,内含胶冻样物,右附件及子宫未见明显异常。阑尾见3x3cm大小的粘液样肿块,腹膜、大网膜、肠管表面均有胶冻样物覆盖。遂行腹式双附件切除术+回盲部肿物切除术+腹膜活检术。术中冰冻病理示:左卵巢粘液囊腺瘤,局部增生活跃。术后病理示:左卵巢粘液性囊腺瘤,阑尾低级别粘液性腺瘤。术后诊断:左卵巢粘液性囊腺瘤并自发破裂,阑尾低级别粘液性腺瘤,胆囊结石。
囊腺瘤的预后一般较好,但是若发生腹腔内破溃有可能造成腹腔内的播散,形成腹腔粘液瘤。此例中患者阑尾低级别粘液腺瘤,不排除为破溃后形成的播散,建议患者定期复查,随访3月无复发。