下载或打开 医联APP 查看完整评论
立即下载
打开APP
患者男,60岁,因“右腕部疼痛5月,右小指屈曲障碍20天”入院。入院前5月,患者无明显诱因情况下出现右侧腕部尺侧酸痛不适,未就诊治疗。左小指伸曲正常;入院前20天,患者出现右小指屈曲障碍,无小指指麻木,遂来我院治疗,门诊以“左小指深浅屈肌腱迟发性断裂”收入院。

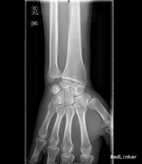
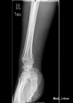
查体:右侧小指伸直位,不能屈曲。右侧腕部尺侧可触及一质韧包块。右小指感觉正常,末梢循环正常。右小指不能主动屈曲掌指关节及中节、末节手指;伸指正常,余手指活动正常。 辅查:彩超:右腕包块处肌腱周围粘稠积液伴滑膜增厚。

初步诊断:右小指深浅屈指肌腱迟发性断裂 诊疗计划:择期行右手小指屈指深肌腱探查修复术

术中发现右手小指深浅屈肌腱陈旧性断裂、瘢痕形成,有粘连,邻近滑膜增生变性,右手小指、环指及中指屈指肌腱变性毛糙,有较多淡黄色积液。
