下载或打开 医联APP 查看完整评论
立即下载
打开APP
发现下颌骨肿物20日余。患者于20天前出现“右下颌牙痛”,于市八就诊,发现右侧下颌骨肿物,伴右下颌隐痛,无放射痛,自服消炎药后稍缓解,表面皮肤无破溃,无下唇麻木。今为进一步治疗来我院就诊,门诊以“右下颌升支肿物(角化囊性瘤?)”收入院
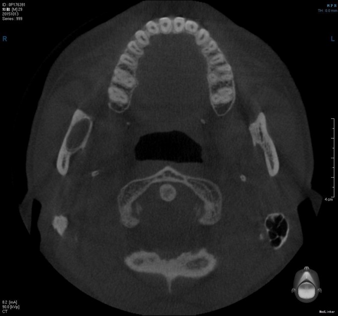
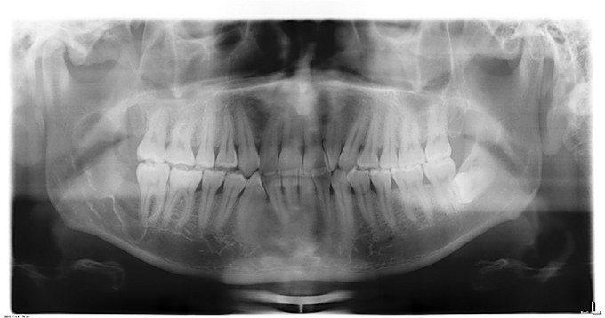
双侧颜面部基本对称,右下颌未见明显隆起,表明皮肤无异常,皮温无升高,无压痛,无右下唇麻木,无张口受限,开口度4.0cm,开口型"↓",双侧髁突动度一致,开闭口未闻及关节明显弹响音。口内检查:右下8未萌,牙齿无松动,无叩痛,右下颌未见明显隆起,无瘘道,双侧头颈部无扪及明显肿大淋巴结。我院CT检查:右下8埋伏于骨内,牙冠偏远中,牙根偏近中,根尖突向下颌神经管。右下8区至右下颌升支近乙状切迹下方见类椭圆形骨质密度减低影,边界清楚,大小约4.4*1.5*.8cm,边缘见骨质增生。其内包含右下8牙冠。肿物膨胀尚不明显,右下8区牙槽嵴顶骨质吸收消失。病变下方紧邻下颌神经管,局部管壁吸收。提示:右下颌骨囊肿:牙源性角化囊性瘤?


初 步 诊 断: 1.右下颌骨肿物待查:牙源性角化囊性瘤? 出 院 诊 断: 1.牙源性角化囊性瘤 2.48埋伏阻生牙 在手术室全麻下行右下颌升支肿物刮除+48复杂牙拔除术+右下颌骨区骨皮质术+邻近瓣转移修复术。术后予预防感染、消肿等对症治疗。
术后病理检查报告(右下颌骨肿物):牙源性角化囊性瘤。