下载或打开 医联APP 查看完整评论
立即下载
打开APP
打开应用
黄牙美白
燉煌用户
燉煌路社区服务中心
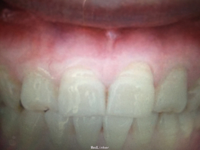
主诉 病史
女28岁,从小全口牙为黄褐色,影响美观,要求治疗。 病史 母亲怀孕期间服用大量四环素
查体 辅查
诊断 处理
四环素牙,牙色偏黄。 处理脱色,贴面或冠修复
发布于 15-11-14 15:18
医联推荐你看
牙齿美白
发黄牙美白修复
前牙美白
共
0
个评论
暂无评论
发送
0