下载或打开 医联APP 查看完整评论
立即下载
打开APP
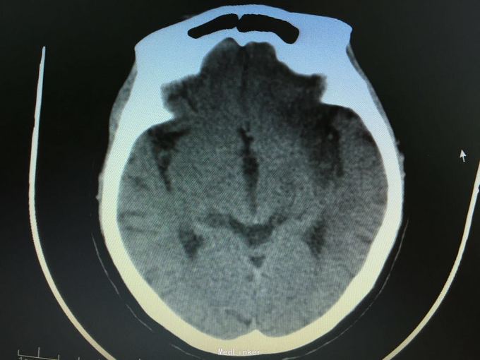
主诉:突发左侧肢体无力伴意识障碍2.5小时。 现病史:患者于2.5小时前突发左侧肢体无力,左侧肢体完全不能动,伴有意识障碍,急诊头CT显示多发脑梗死,为进一步诊治入院。 既往史:高血压,冠心病支架后,阵发房颤。







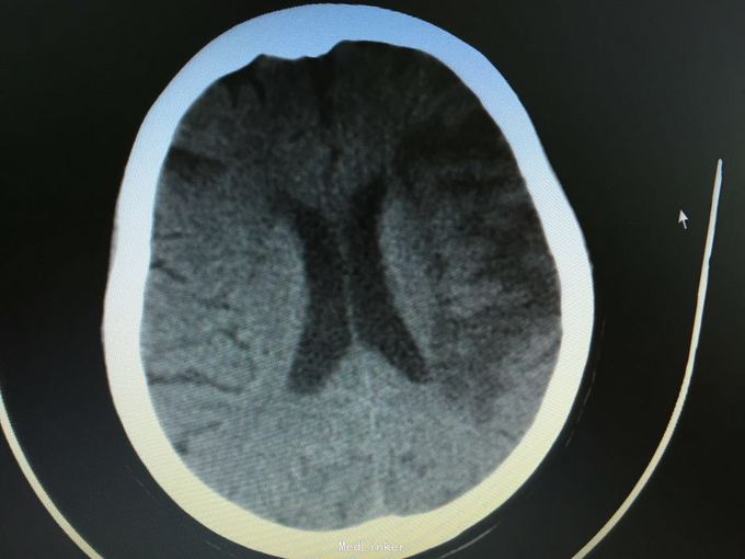
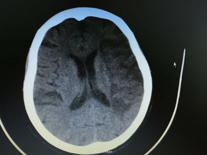
昏睡,完全混合性失语,双眼向左侧凝视,右侧肢体肌力0级,右侧病理征阳性。 头CT见多发陈旧小梗死。
诊断:大脑半球大面积脑梗死 治疗:抗血小板,脱水,降脂等,抗凝预防下肢静脉血栓
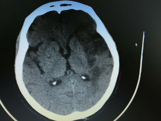
目前住院10余天,意识清楚,但仍遗留左侧肢体肌力0级,混合性失语等严重功能残疾。复查CT显示为左侧大脑半球大面积脑梗死。 讨论:对于高龄,大面积脑梗死患者,时间窗内是否溶栓?静脉还是动脉溶栓?