下载或打开 医联APP 查看完整评论
立即下载
打开APP
37岁女性,主诉:阴道不规则流血1个月入院; 患者近一个月月经前后阴道少量流血,色鲜红,行盆腔彩超可见盆腔9.8*7.1cm囊性包块,入院。
妇科检查:外阴发育正常,阴道畅,宫颈糜烂样改变,子宫常大,右附件区可触及一质硬包块,大小约9*7cm,左侧附件未触及明显异常。 盆腔彩超:子宫前倾位,大小约6.9*5.2*4.1cm,子宫内膜厚约1.0cm。宫区未见明显占位性病变。右附件区可见9.8*7.5cm囊性肿物,边界清,内呈液性,附壁可见5.9*1.6cm中等回声团,CDFI可检出血流信号。左卵巢大小约2.7*1.8cm,左附件区未见明显占位性病变。盆腔可见深约4.3cm游离液体。
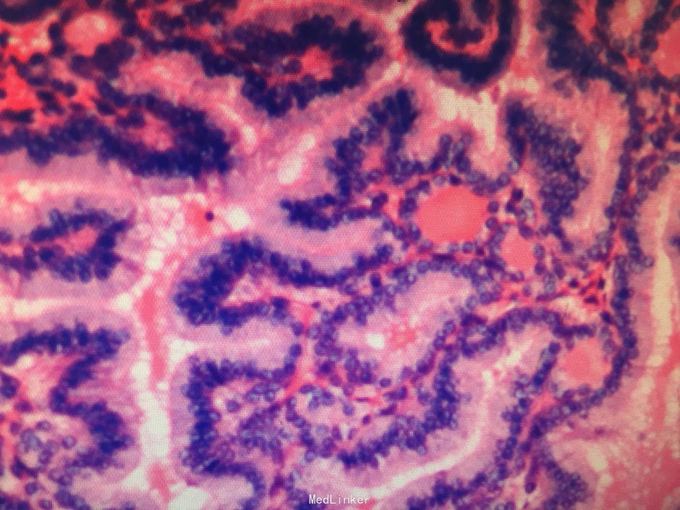
诊断 : 右附件区囊性肿物 治疗:全麻下行腹腔镜下右卵巢囊肿核除术,术中见,子宫常大,右侧附件根部扭转540度(1圈半),右附件表面无明显充血淤血及青紫,恢复其正常位置,见右侧卵巢囊肿约9*8cm,多房性,表面光滑,无明显坏死,左卵巢及双侧输卵管形态未见异常。完整核除右侧卵巢囊肿,术后石蜡病理回报:(右)卵巢甲状腺肿伴乳头状非典型增生,请注意复查。
随诊:卵巢甲状腺肿是一种高度特异性的单胚层畸胎瘤,非常少见,占所有卵巢肿瘤的0.3%,卵巢畸胎瘤的2.7%。发病年龄高峰为生育期妇女,85%的病人于绝经期前发病,多为单侧. 卵巢甲状腺肿的治疗为手术切除,术后通常不需要其他后续治疗,但需要对其是否发生甲亢或甲减进行密切观察。必要时应予以甲状腺制剂。术中对肿物进行剥除者,应将其残留的囊壁清除干净,避免术后复发。虽然良性卵巢甲状腺肿复发率极低,但对于合并腹水且肿瘤标志物较高的患者,应定期进行CA125 检测及盆腔超声检查。
