打开应用

基底节区出血一例

蒋医师   中国医学科学院阜外医院
脑出血 脱水 高血压

主诉 病史

主诉:男性,75岁,发作性晕厥1小时。 现病史:1小时前,患者在排便时突然晕倒在地,呼之不应,不省人事,伴大小便失禁,送至急诊。 既往史:高血压病史20年,不规律服药,血压控制不佳,平日血压160/95mmHg。 个人史、婚育史、家族史无特殊。

查体 辅查

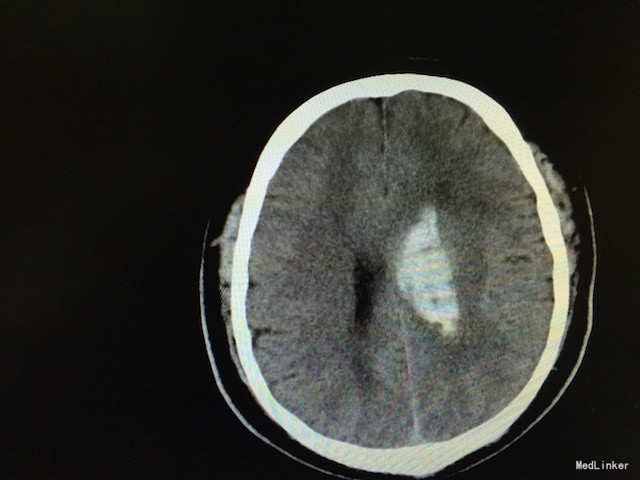
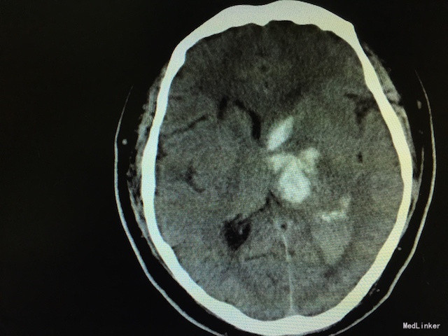
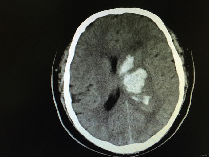
查体:右侧“三偏征”明显(偏瘫、偏身感觉障碍、偏盲),右病理征可疑阳性。 辅助检查:急诊行头颅CT,如下图,左侧基底节区出血。

诊断 处理

诊断:脑出血 高血压3级(极高危) 治疗:安静卧床、脱水降颅压、冰帽降低脑组织代谢、调整血压、止血治疗等。

随访 讨论

随访和讨论:一般脑出血的治疗原则为安静卧床、脱水降颅压、调整血压、防止继续出血、加强护理防治并发症。一般对于基底节区出血量中等量以上才考虑外科手术干预。尽早抢救病人,使病人病情尽快平稳后尽早行康复治疗可以提高患者出院后的生活质量。

发布于 15-11-14 00:34

0 个评论

暂无评论
发送