下载或打开 医联APP 查看完整评论
立即下载
打开APP
患者33岁,头晕、恶心呕吐10小时来诊。 患者孕35周,平日体检,进食正常,妊娠过程顺利。入院前10小时,无明显诱因出现头晕、恶心呕吐及走路不稳,急诊来我院产科,产科考虑与妊娠状态不服,请神经内科会诊,遂予完善颅脑MRI检查,提示右侧小脑半球新发梗塞,转入我可进一步治疗。既往有颈部疼痛病史。


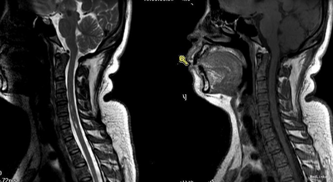
神经科查体:神清语明,步态平稳,查体合作,双瞳孔等大正圆,D=3.0mm,对光反射灵敏,双眼球各向运动充分,无眼震,无复视,额纹对称,双侧鼻唇沟对称,示齿口角不偏,伸舌居中,咽反射存在,转颈耸肩对称有力,四肢肌力Ⅴ级,肌张力正常,深感觉未见异常,右侧指鼻、轮替、跟膝胫试验略差,闭目难立征及走直线征阴性,BCR L++R++,PSR L++R++,Babinski征L-R-,颈软。余神经系统查体未见明显异常。 颅脑MRI检查,提示右侧小脑半球新发梗塞,颈椎MRI:颈3-4T2高信号。MRA提示双侧椎动脉狭窄
诊断:急性小脑梗塞 患者处于特殊的妊娠状态,遂给予对症补液、扩容治疗,患者治疗10天,临床症状缓解,转入产科待产。
患者青年女性,存在双侧椎动脉狭窄及高颈段、小脑梗死,患者无一般传统动脉硬化危险因素,建议患者进一步完善风湿免疫等检查,患者拒绝,嘱患者结束妊娠后到我科继续诊治。