下载或打开 医联APP 查看完整评论
立即下载
打开APP
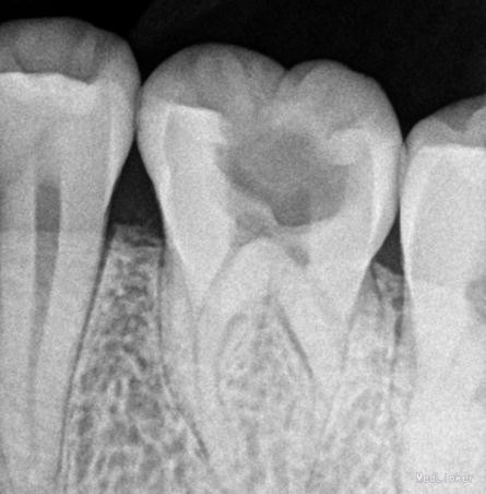
患者,男 40岁 主诉:左上后牙疼痛3天 现病史:左上后牙3天前出现疼痛,夜间痛加重,就诊要求检查
检查:#26 合面见大洞,洞内大量棕黄色腐质,探(++),冷热刺激疼痛加重,扣(—),牙龈未见异常。

诊断:#26牙髓炎 治疗计划:#26根管治疗,后期纤维桩加固嵌体保护冠修复。局部麻醉下开髓,根管预备,消毒。(近中发现mb2)





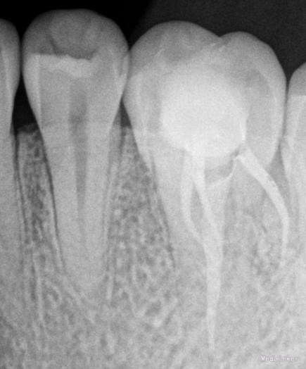
根管疏通,弯曲根管预备时可选用先锋锉或不锈钢k锉进行预弯,注意预备时用edta充满髓腔和根管,初尖锉可。