下载或打开 医联APP 查看完整评论
立即下载
打开APP
打开应用
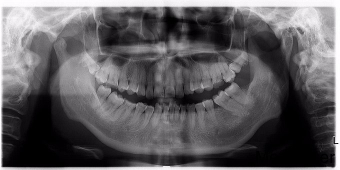
1113水平阻生智齿的拔除光14
哈尔用户
哈尔滨博睿口腔门诊
主诉 病史
两侧后牙区不适,求治
发布于 15-11-13 10:57
医联推荐你看
水平阻生智齿拔除
水平阻生智齿拔除
1113水平阻生智齿的拔除光26
共
0
个评论
暂无评论
发送
0