下载或打开 医联APP 查看完整评论
立即下载
打开APP
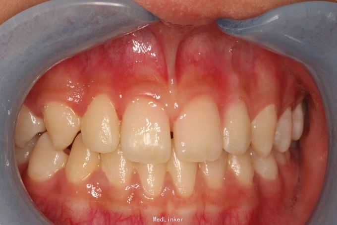
患者,王某,女,16岁 主诉:上前牙牙缝多年 病史:患者换牙期后上前牙一直有牙缝,逐渐变小,目前仍闭合不全,要求唇系带切除
检查:张口度张口型正常,恒牙列,舌活动自如,伸舌居中,发音正常,11.21间隙1mm,I度覆盖II度覆 牙合 ,牵拉上唇见切牙乳头发白,余未见明显异常

诊断:唇系带过短 处置:局部涂抹表麻膏,激光手术 建议:正畸治疗,关闭间隙,纠正咬合


激光手术操作简单,全程无痛,避免了其他医疗行为对患儿造成的恐惧,手术视野清晰,操作过程顺利流畅,时间短,易于止血;避免了强行使用开口器误伤口腔组织;避免了术后出血、感染;避免了手术给患儿造成的痛苦和心理健康隐患。