下载或打开 医联APP 查看完整评论
立即下载
打开APP
打开应用
1112前牙脱矿的美学树脂修复光4
哈尔用户
哈尔滨千昊口腔门诊部
主诉 病史
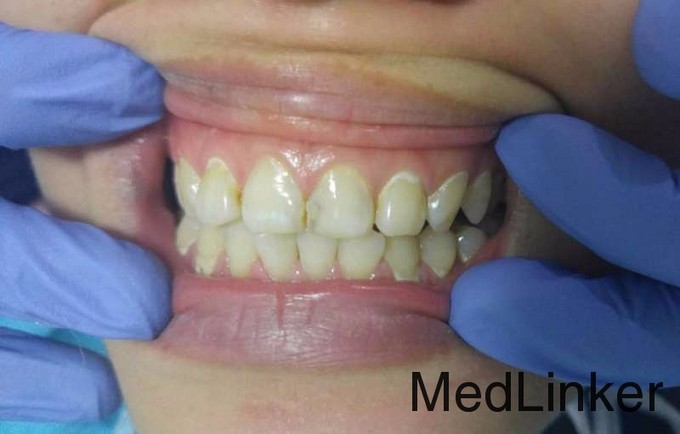
前牙有白色斑块,影响美观
发布于 15-11-12 17:02
医联推荐你看
前牙美学树脂修复
前牙树脂美学修复
前牙美学树脂修复
共
2
个评论
查看更多评论
发送
0