下载或打开 医联APP 查看完整评论
立即下载
打开APP
患者,女,43岁,因“右眼睁眼困难10年,加重伴视物不清半年”入院。患者10年前无明显诱因下出现右眼睁眼困难,当时无明显不适,多次至当地医院眼科就诊,予对症支持治疗未见明显好转。
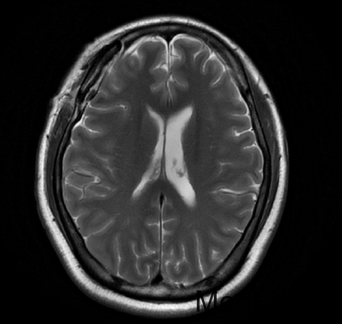
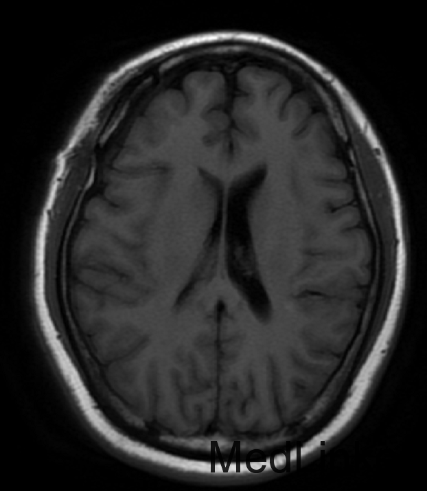
查体:双侧瞳孔等大等圆,直径约3mm,左侧对光反射灵敏,右侧对光反射迟钝,动眼自主,额纹对称,嘴角伸舌无歪斜。 2015-08-22当地医院查头颅MRI示:“右蝶骨嵴脑膜瘤”。


初步诊断:右]蝶骨嵴脑膜瘤。入院完善相关检查及术前准备,(2015-09-227日行磁共振(头部)检查提示:右侧蝶骨脊区占位,建议MRI增强。2015-09-29DSA示:右侧颈内动脉交通段、眼段狭窄,右侧前交通胚胎型,左侧椎动脉优势供血。垂体磁共振造影示:右侧蝶骨脊区占位,考虑脑膜瘤。排除手术禁忌症后于2015-09-29日行:开颅肿瘤切除术。
出院情况:患者神清,双侧瞳孔等大,对光反应灵敏,四肢活动可,愈合好,出院后一周拆线。 病理报告如图。
