下载或打开 医联APP 查看完整评论
立即下载
打开APP
63岁女性,因“反复咳嗽、咳痰5年,加重1年”入院。
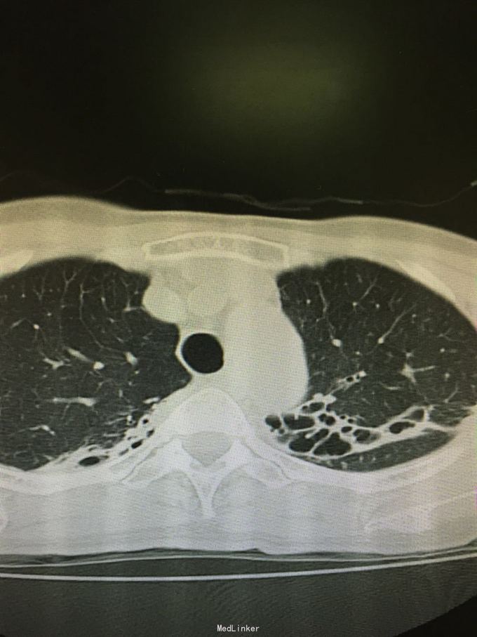
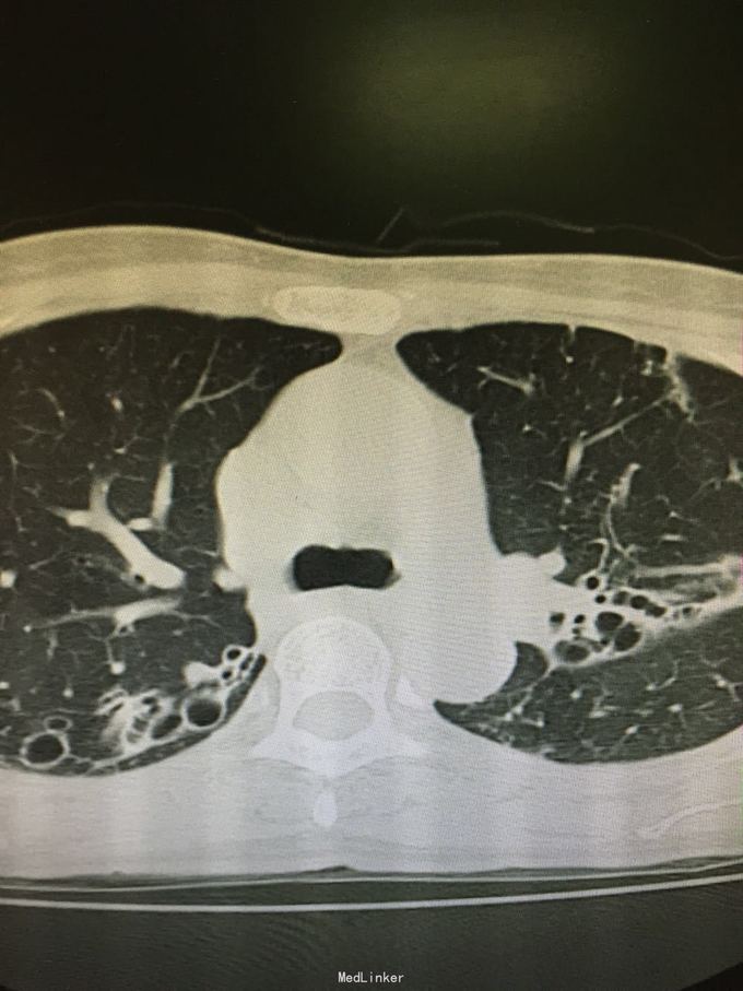
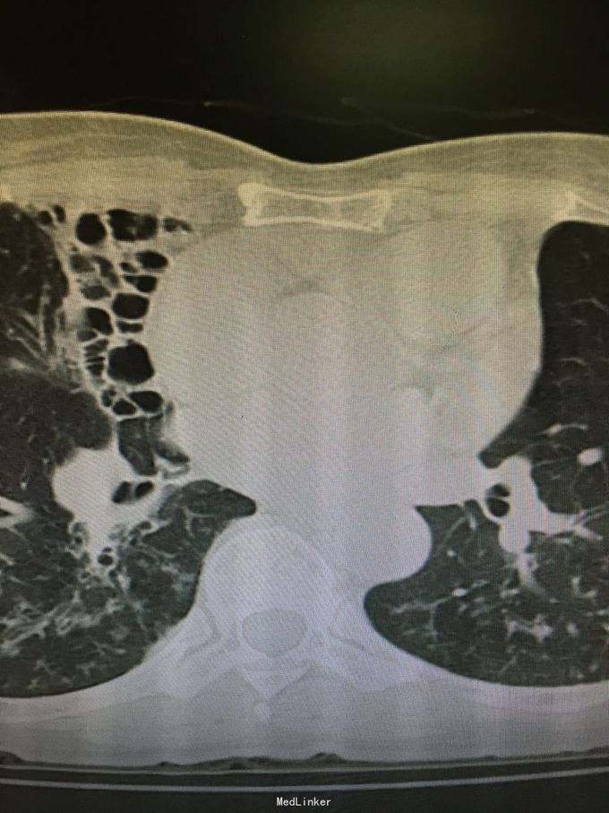
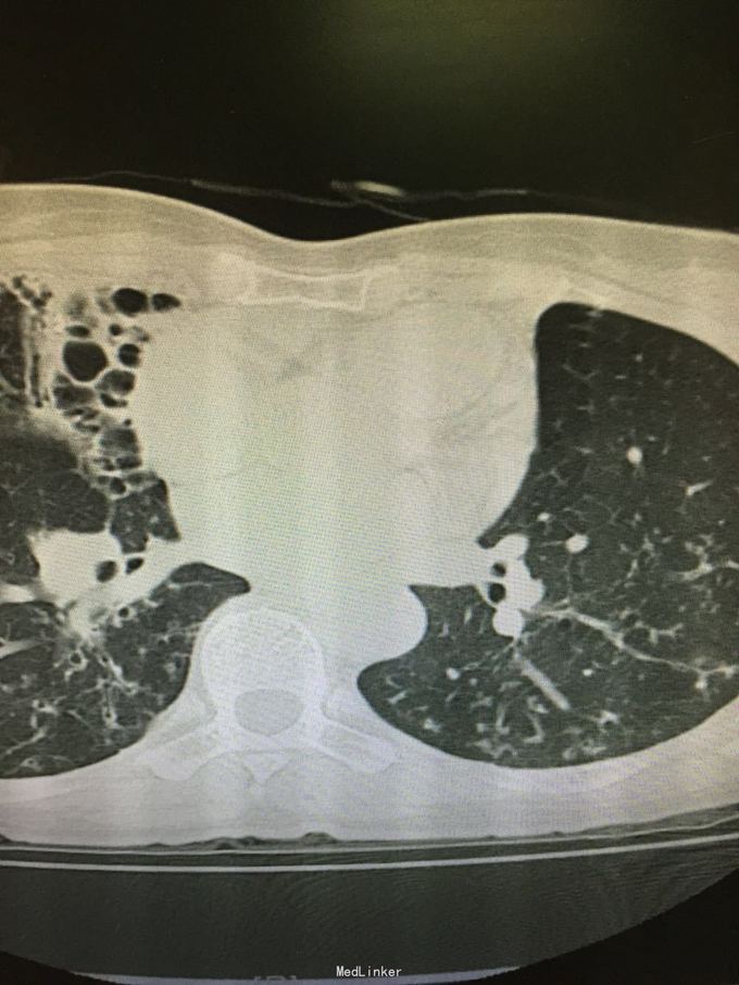
查体:双肺呼吸音粗,双上肺可闻及哮鸣音,双下肺可闻及干湿性罗音。外院胸片示两上中肺可见片装阴影,密度不均匀,边缘模糊,左中肺病灶中可见一椭圆形透光区,大小1.5*2.0cm;双肺纹理增粗、紊乱。考虑继发性肺结核(III上/上中。进展)我院胸片考虑支气管扩张。






诊断:支气管扩张并感染;肺结核?。入院后予甲磺酸左氧氟沙星200mlQd静滴治疗。
肺结核患者易并发支气管扩张。该患者影像学表现为碎饼干渣样,为较典型结核播散灶。支气管扩张表现也较典型。