下载或打开 医联APP 查看完整评论
立即下载
打开APP
主诉:右上后牙夜晚疼痛一日。 现病史:昨晚右上后牙疼痛明显,疼痛放射至右侧耳颞部,今就诊要求诊治。 既往史:无特殊。
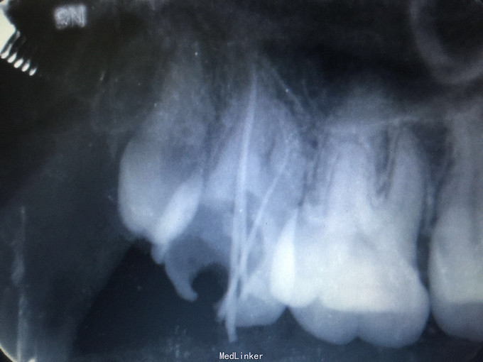
检查:17颊牙合面大面积龋坏,探及穿髓点,探痛(+++),叩诊(-),松动无,牙龈无明显红肿,冷诊(+)。 辅查:X线片示:17牙合面大面积龋坏及髓,根尖区未及明显低密度影像。
诊断:17急性牙髓炎 治疗: 初诊:17局麻下开髓揭顶全,去龋净,慢失活剂,暂封,告医嘱,肿痛随诊。 二诊:17去暂封及失活剂,拔髓,疏通根管,根管上1/3预备,根管长度测量,wave-one预备根管中下2/3,冲洗,试尖,干燥,根管封药,暂封,告医嘱,肿痛随诊。 三诊:17去暂封及根管封药,NS冲洗根管,干燥,根充糊剂+牙胶尖侧压充填,X线示适充,锌基,树脂充填,调合,抛光,告医嘱。 建议17观察一周,无不适冠修复。




讨论:此牙根管弯曲,不宜直接用镍钛器械进行预备,需先手工预备,然后再用镍钛机扩器械预备,减少器械分离的发生。 后牙根管视野不好,耐心操作很重要。