下载或打开 医联APP 查看完整评论
立即下载
打开APP
打开应用
拔除
南京用户
南京市建邺区补经堂诊所
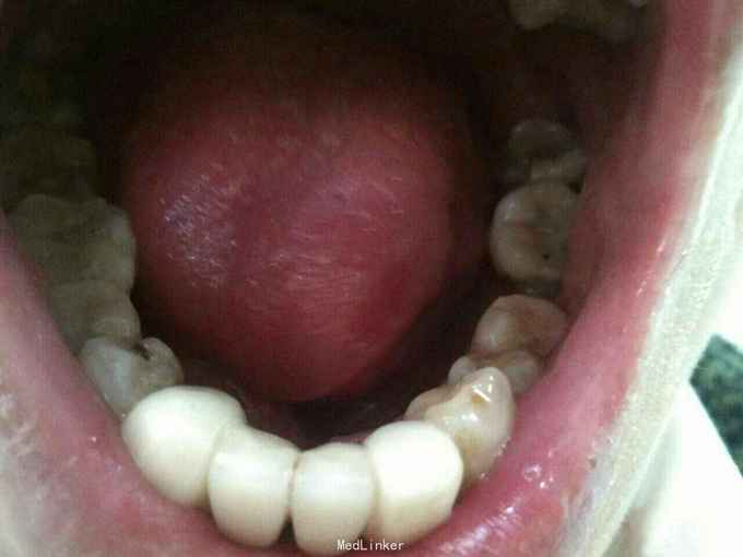
主诉 病史
患者女,58岁,智齿咀嚼疼痛!吃了消炎药后,来院就诊。
发布于 15-11-10 15:50
医联推荐你看
拔除
拔除
拔除
共
0
个评论
暂无评论
发送
0