患者,男性,41岁。因尿急一月余来我院就诊,有下腹坠胀感,无腹痛、血尿、血精等症状。既往体健。
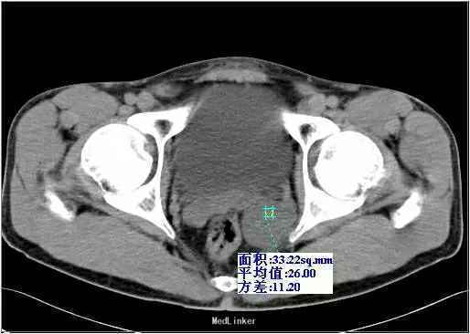
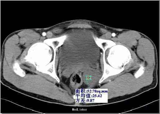
查体:左侧精囊区肿块,大小约3cm,质硬,活动度可,轻挤压痛,余体检无异常。实验室检查:血常规、生化、凝血、尿常规及肿瘤标记物化验未发现特殊异常。 影像检查:超声示盆腔内直肠中段左侧见一肿块图像,大小约4.4 cm×5.0 cm×3.2 cm,形状呈椭圆形,边界欠规整,内部为低回声,分布不均,后方回声无变化,彩色多普勒显示肿块内部可见少许点状血流信号。 CT示左侧精囊区见一肿块,大小约4.3 cm×3.6 cm;平扫呈稍低密度(相对邻近肌肉密度),密度不均,其内可见散在分布更低密度区,CT值约18-28HU,动脉期CT值20-28HU,静脉期CT值20-30HU,肿块边缘规整、边界清楚,与直肠膀胱分解清楚。





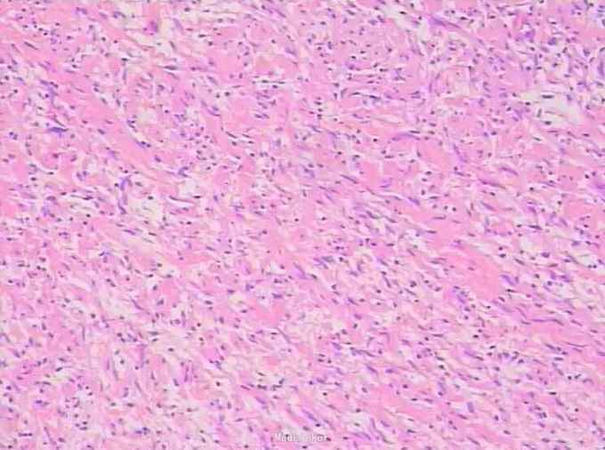
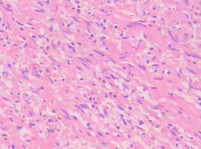
初步诊断:精囊肿瘤,性质不明。予手术切除治疗,术后病理:肉眼所见左侧精囊灰黄色包块,大小约4.5 cm×3.2 cm×2.6 cm,切面灰黄实性,质嫩。光镜下示瘤细胞核小,卵圆,无明显的细胞突起,为梭形细胞肿瘤;免疫组化:S-100(+),EMA(-),CK(-),VIM(+),CD34(部分+),CD117(-)。最后诊断:(原发性精囊)孤立性神经纤维瘤。
前几天不是有人在群里问过这个病么,正好看到这篇病例报道,借鉴过来跟大家讨论学习下,希望李老师勿怪。在临床中,原发性精囊神经源性肿瘤临床罕见,病理学上分为良性和恶性,常见的组织类型有神经鞘瘤和神经纤维瘤。神经纤维瘤分为孤立性和多发性。至今,国内外文献报道精囊原发性神经源性肿瘤仅有6例,均为神经鞘瘤;原发性精囊孤立性神经纤维瘤尚未见文献报道。本例需要发生在精囊的其他肿瘤相鉴别,如精囊囊肿、精囊恶性肿瘤等。