下载或打开 医联APP 查看完整评论
立即下载
打开APP
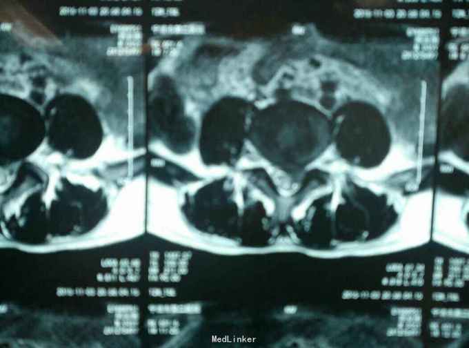
患者,男,42岁,因“左下肢疼 痛麻木一个月”入院。一个月前有搬重物的病史。
查体:L45间隙压痛,左侧小腿外侧及左足拇趾感觉减退,左下肢肌力四级,左侧下肢直腿抬高试验30度阳性。腰椎MR提示: L4/5椎间盘脱出向上高度游离,压迫左侧神经根。




诊断:L45腰椎间盘脱出游离。 治疗:行侧路椎间孔镜手术。





术后症状缓解,左腿直腿抬高80度。此类患者,行侧路椎间孔镜有一定难度,但是侧路椎间孔镜创伤小,恢复快。各位大侠对这样的病例还有什么好的处理方案?
