下载或打开 医联APP 查看完整评论
立即下载
打开APP
打开应用
1106变色牙的美学修复光21
泽雅用户
泽雅口腔门诊
主诉 病史
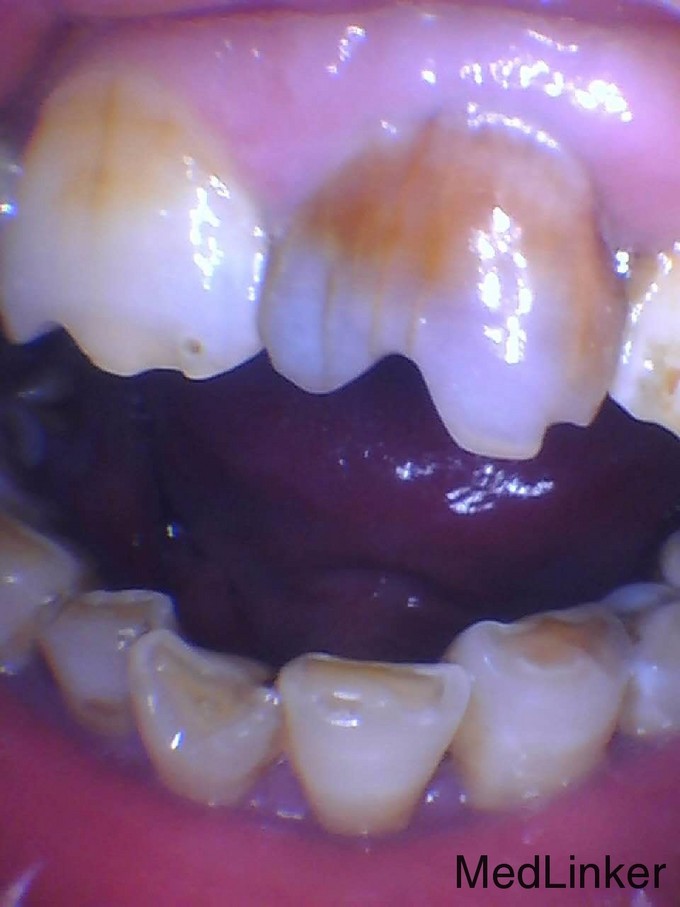
右上前牙曾治疗过,颜色黑,要求治疗
发布于 15-11-06 14:13
医联推荐你看
1106前牙有间隙的美学修复光14
前牙变色美学修复
变色牙的美学修复
共
0
个评论
暂无评论
发送
0