男性,16 岁。 主诉:双下肢水肿1 月余。 现病史:患者于1 个月前行痔疮手术治疗时尿检发现尿蛋白强阳性(+++),术后1 周出现双下肢水肿伴乏力、纳差。 家族史:父亲有肾囊肿病史。
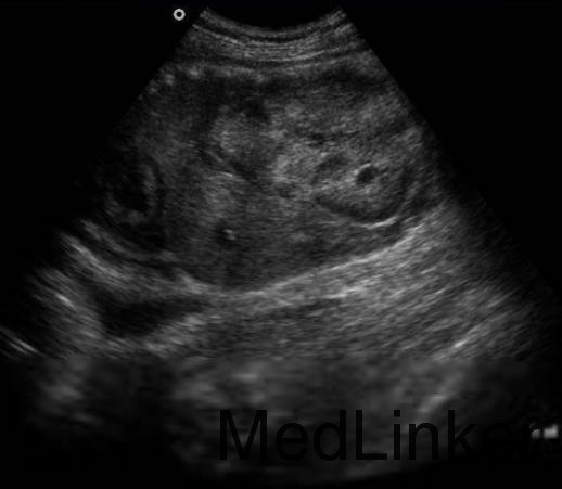
查体:眼睑及双下肢轻度水肿,咽部轻度充血。 辅查:尿蛋白强阳性(+++);24 h 尿蛋白4.87 g;血清清蛋白20.5g/L,血清总胆固醇10.28mmol/L,三酰甘油1.87 mmol/L;活化部分凝血酶原时间46.6 s;纤维蛋白原7.53g/L;IgG3.13 g/L,IgA 1.65 g/L, IgM 1.05 g/L, 补体C3 1.55 g/L,C4 0.35 g/L;双肾B 超:形态正常,皮质回声增强,皮髓分界欠清晰,双肾扫见多个液暗区;腹部CT 平扫:双肾可见多发大小不等类圆形病灶,呈水样均匀低密度,边界清晰。清洁中段尿培养:大肠埃希氏菌,菌落计数:2000 CFU/ml。

诊断:多囊肾,肾病综合征。 治疗:给予激素(泼尼松60mg,每天1 次),辅以低分子肝素钠、双嘧达膜抗凝,辛伐他汀降脂,抗感染及保肾治疗。
随访:用药8 周后泼尼松开始规律减量,患者随后多次复查尿检阴性,病情稳定。 讨论:多囊肾是常见的单基因遗传病,依发生频率高低依次为:局灶节段肾小球硬化、微小病变型肾病及膜性肾病。该患者大量蛋白尿、低蛋白血症,肾病综合征诊断明确,不排除多囊肾合并原发性肾病综合征。患者年轻,以单纯蛋白尿为主而无明显镜下血尿,推测其肾脏病理类型较轻,如微小病变型、轻度系膜增生型可能。该病至今仍无特效治疗,对早期病变多主张保守治疗。尿蛋白是促进肾功能恶化的危险因素,应予积极治疗。该患者肝、肾功能正常,无应用糖皮质激素的绝对禁忌,可以按照原发肾病综合征常规治疗,在使用糖皮质激素同时,需清除感染并预防感染发生。