下载或打开 医联APP 查看完整评论
立即下载
打开APP
患者,男性,65岁,因体检发现肝脏占位一周入院。患者1周前体检发现右肝占位,伴乏力,无腹痛、腹胀等其它不适。既往慢性乙肝30余年,未正规治疗。
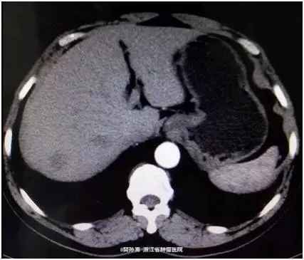
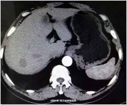
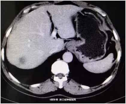
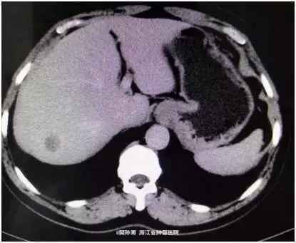
查体:心肺查体阴性,腹平软,无腹壁静脉曲张,全腹无压痛、反跳痛,腹部无包块。肝脏未触及,脾脏未触及,Murphy氏征阴性,肝、肾、脾无叩击痛,无移动性浊音。肠鸣音正常。 肿瘤标志物阴性。 CT表现:动脉期:肝包膜光整,肝脏形态正常,肝右叶可见低密度结节。大小约1.8*2.4 cm。边界模糊。门脉期:病灶强化幅度减低,边界较动脉期清晰。延迟期:病灶仍呈低密度。肝内胆管不扩张,肝门结构清晰自然,胆囊不大,壁光滑,腔内未见明显异常。脾脏、胰腺、胃、腹膜后未见明显异常。






初步诊断:肝脏占位,性质待查。 术中探查见于右肝后叶扪及一大约3x2.5 cm肿块,质硬,余肝未扪及异常,腹腔无肿大淋巴结,腹腔其它脏器未见异常。
如何诊断?以下几个选项,大家来讨论下? 1、局灶性结节增生 2、肝血管瘤 3、原发性肝癌 4、肝腺瘤 5、肝坏死结节 6、肝囊肿