下载或打开 医联APP 查看完整评论
立即下载
打开APP
打开应用
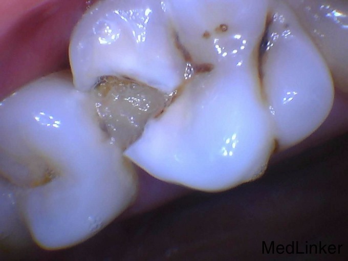
1105磨牙龋坏的嵌体修复光8
哈尔用户
哈尔滨博睿口腔门诊
主诉 病史
左上后牙有牙洞塞食物,要求治疗
发布于 15-11-05 12:44
医联推荐你看
1113牙体龋坏的嵌体修复光7
下颌第二磨牙嵌体修复
磨牙的嵌体修复
共
0
个评论
暂无评论
发送
0